
我室于法标教授、王锐副研究员《Chem. Eng. J.》:SERS成像用于乳腺癌分型诊断及治疗评估
Chemical Engineering Journal , 2023, 1415025
关键词:SERS成像,表型生物标志物检测,乳腺癌,治疗评估
乳腺癌症的侵袭和转移与肿瘤细胞表面和肿瘤微环境中表达的各种生物标志物密切相关。乳腺癌敏感表型诊断和治疗评价的不足是癌症诊断和治疗中的一个重大挑战。目前,病理组织切片检查是诊断乳腺癌症的“金标准”。然而,由于显微镜下肿瘤切片的形态学差异以及病理学家主观判断的影响,不可避免地会导致某些误差。此外,获取病理切片需要深入病变组织,这很可能会造成一定的创伤。因此,无创性乳腺癌成像技术对于乳腺癌症的早期准确诊断越来越受到重视。常用的临床成像技术,包括X射线、超声、计算机断层扫描(CT)和磁共振成像(MRI),在准确诊断和检测微转移灶方面存在明显的局限性。
我室于法标教授、王锐副研究员在《Chemical Engineering Journal》期刊上发表了题为“Highly sensitive surface-enhanced Raman scattering (SERS) imaging for phenotypic diagnosis and therapeutic evaluation of breast cancer”的文章(DOI: 10.1016/j.cej.2023.141502)。该课题组设计制备了高灵敏SERS成像探针用于检测细胞膜表面表达的乳腺癌表型生物标志物,并在化学治疗和手术后进行治疗效果评估。SERS探针采用金-银(Au@Ag)核-壳纳米颗粒作为活性基底,分别在金核和银壳表面嵌入拉曼报告子,进一步与特异性抗体结合。高度增强的SERS信号能高灵敏检测细胞表面表达的特定表型生物标志物。本研究选择表皮生长因子受体(EGFR和ErbB2)和胰岛素样生长因子1(IGF1)作为生物标志物,并通过基于SERS的成像技术评估其在MCF-10A人正常乳腺细胞系和MDA-MB-468、SK-BR-3、KPL-4人乳腺癌症细胞系中的表达。在异种移植乳腺肿瘤模型中,SERS成像能准确评估抗癌药物他莫昔芬治疗和手术治疗效果。而且,SERS成像与H&E和Masson染色结果一致。

示意图1. (A)三种SERS探针的制备流程图:(i)双层拉曼报告分子修饰的SERS活性基底制备;(ii)聚乙二醇化的抗体在基底表面的偶联。(B)SERS成像检测细胞膜表面的表型生物标志物。(C)SERS成像评估抗肿瘤药物和手术治疗效果。

图1. 制备和表征Au@Ag核-壳纳米粒子。(A)拉曼报告分子标记的Au@Ag纳米粒子制备流程。(B)不同Ag壳层厚度的核-壳纳米粒子照片。(C)Au@Ag核-壳纳米粒子的紫外-可见光谱。(D)加入不同体积的硝酸银和抗坏血酸溶液形成的Au@Ag核-壳纳米粒子在1616 cm-1处的SERS信号强度。(E)60 μL银染色溶液体积的Au@Ag核-壳纳米粒子的TEM图。(F-J)HAADF-STEM和EDS元素图。

图2. SERS探针的表征:(A)不同类型SERS探针的选择。(B)UV-vis光谱,插入:FBS、PBS和H2O中SERS探针照片。(C)DLS分布。(D)抗体偶联前(红色)和后(蓝色)纳米颗粒的SERS光谱。(E)在100% FBS中孵育2小时期间SERS探针信号强度的稳定性测试。(F)SERS探针TEM图像。标尺为100 nm。

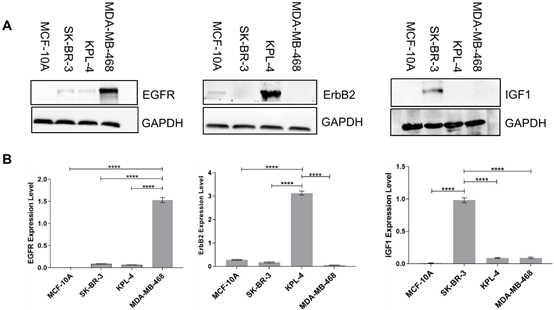
图3.(A)Western blot分析在MD-MDA-468、KPL-4和SK-BR-3乳腺癌细胞和MCF-10A正常乳腺细胞中表达的EGFR、ErbB2和IGF1生物标记物,以GAPDH为内标。(B)A的密度分析,即根据GAPDH标准化的生物标志物的光密度(n=3,平均值±S.E.M.,****P<0.0001)。使用单向ANOVA检验进行统计分析。

图4. 与SERS探针孵育2小时后,MCF-10A、MDA-MB-468、KPL-4和SK-BR-3癌症细胞中三种生物标记物(EGFR、ErbB2和IGF1)的SERS成像。KPL-4细胞系(左)和MCF-10A细胞系(右)中三种生物标记物分布的代表性颜色重叠。标尺为10 μm。

图5. 基于SERS成像的肿瘤治疗前后评估。肿瘤(健康小鼠的皮肤组织)的所有SERS成像均为活体成像,而主要器官为解剖后体外成像。(A)对照组:健康裸鼠右腋窝及器官SERS成像。(B)肿瘤组:未经任何治疗的乳腺肿瘤和器官的SERS成像。(C)药物治疗组:他莫昔芬治疗15天后乳腺肿瘤和器官的SERS成像。(D)手术治疗组:手术后乳腺肿瘤和器官的SERS成像。
相关链接:
https://www.sciencedirect.com/science/article/abs/pii/S1385894723002334