生物屋 2024-05-03 14:49 上海
[实验概述]
·肿瘤转移是癌症进展中一个复杂而关键的过程,在此过程中癌细胞从原发肿瘤扩散到身体的其他部位,形成继发性肿瘤或转移瘤,这一系列过程统称为侵袭-转移级联。原发肿瘤的转移过程可分为几个关键步骤:
o (1) 局部侵袭(Local Invasion)附近细胞的细胞外基质(ECM)和基质细胞层。转移的第一步是肿瘤细胞对局部附近组织的侵袭。原发肿瘤细胞外蛋白酶如机制金属蛋白酶(MMP)的分泌,可降解细胞外基质(extracellular matrix, ECM),从而使肿瘤细胞穿透周围组织进入循环系统。
o (2) 内渗(Intravasation)进入淋巴管或血管腔。局部侵袭后,部分癌细胞进入附近的血管或淋巴管。 这个过程称为内渗。这些血管和淋巴管为癌细胞提供了一种传播到体内远处部位的途径。
o (3) 生存于循环系统(Survival in the circulation)进入血液或淋巴系统的癌细胞面临着重大挑战,包括剪切力、免疫监视和失巢凋亡(细胞从ECM脱离时发生的一种细胞死亡)。为了在循环系统中生存,癌细胞可能会形成聚集体或团块并逃避免疫检测,这些细胞被称为循环肿瘤细胞(circulating tumor cells, CTCs)。
o (4) 到达解剖学上的远端器官组织。一旦肿瘤细胞进入循环,这些细胞就会被携带到全身。 最终,它们可能会滞留在毛细血管床上,其中较小的血管限制了它们的运动。 这种停滞是由于癌细胞上的粘附分子与次要部位血管内皮细胞之间的相互作用所致。
o (5) 外渗(Extravasation)入远端正常器官组织细胞。癌细胞必须离开血流或淋巴管才能形成继发性肿瘤。 癌细胞的粘附特性发生变化,通过穿透将血管腔与间质微环境分离的内皮细胞和周细胞层,从血管腔内进入组织,这一过程被称为外渗。
o (6) 在新环境中的最初生存和微转移。一旦癌细胞成功外渗,它们就会面临在其在远端组织微环境中生存的挑战。这些包括逃避免疫反应、适应新的微环境以及增殖形成继发性肿瘤。 继发部位的微环境可能与原发肿瘤不同,这些微环境的差异可能包括基质细胞的类型、ECM成分、可用的生长因子和细胞因子,甚至是组织本身的微结构。癌细胞需要适应这些变化才能生存和生长。
o (7) 转移性定植(Metastatic Colonization)即重新启动增殖程序并形成转移灶。经历过这七个步骤后原发性肿瘤可以产生宏观的、临床可检测到的肿瘤生长,通常称为转移定植。为了促进其生长,转移性癌细胞通常通过称为血管生成的过程诱导新血管的形成。 这确保了营养物质和氧气的持续供应,以支持继发性肿瘤的发展。继发性肿瘤可以继续侵入周围组织,并可能通过血流或淋巴系统进一步扩散,这个过程会导致体内不同部位形成多个继发性肿瘤。
(DOI:10.1016/j.cell.2011.09.024)·细胞迁移(Cell migration)也称为细胞爬行、细胞移动或细胞运动,是指细胞在接收到迁移信号或感受到某些物质的梯度后而产生的移动。细胞迁移为细胞头部伪足的延伸、新的黏附建立、细胞体尾部收缩在时空上的交替过程。细胞迁移是正常细胞的基本功能之一,是机体正常生长发育的生理过程,也是活细胞普遍存在的一种运动形式。胚胎发育、血管生成、伤口愈合、免疫反应、炎症反应、动脉粥样硬化、癌症转移等过程中都涉及细胞迁移。·细胞迁移的过程大致可以分为4步:①细胞前端伸出片状伪足;②细胞前端伪足和细胞外基质形成新的细胞黏附;③细胞体收缩;④细胞尾端和周围基质黏着解离,细胞向前运动。细胞迁移需要胞外、胞内信号 分子调控细胞骨架动力装置所给予的驱动力与肌动蛋白细胞骨架介导的黏附所提供的锚定力之间的协调运作。·细胞侵袭(Cell Invasion)是细胞迁移的一种,与细胞迁移密不可分,是指细胞在原位突破基底膜,然后内渗进入血管、淋巴管的过程,即入侵的细胞(如恶性肿瘤细胞)穿过胞外基质层(Extracellular Matrix,ECM)或基底膜基质层(BME)从一个区域侵入到另一个区域,在侵袭到新区域之前,ECM/BME被细胞内的蛋白酶降解。细胞侵袭常发生于伤口修复、血管形成和炎症反应以及组织的异常浸润、肿瘤细胞转移等过程中。因此,研究其中的机制对多种生理/病理过程都有着重要的意义。而肿瘤细胞的侵袭性是肿瘤相关信号通路、药物治疗、靶向治疗、致癌/抑癌基因等肿瘤学研究的一个重要指标。

图2. 肿瘤细胞侵袭模型
(Novikov et al., 2021)
o (1) 侵袭性细胞需要通过细胞外基质附着和黏附来稳定在特定位置。
o (2) 细胞释放出特殊的酶类(如金属蛋白酶和蛋白酶等),以降解周围的基质分子,如胶原蛋白和纤维连接蛋白等。这样一来,细胞就能够通过基质间隙进行运动,并侵入新的领域。
o (3) 细胞侵袭还涉及到细胞内信号传导网络的激活和调节。如细胞外刺激激活的受体、下游的蛋白激酶级联反应等。这些信号通路可改变细胞形态,增强细胞运动性,促进细胞的侵袭能力。
o (4) 细胞侵袭在生理上发挥重要作用,比如胚胎发育过程中的胚胎内胚叶的形成,以及组织修复和再生过程中的细胞迁移。
o (5) 异常的细胞侵袭也与一些疾病相关,尤其是癌症的转移过程。癌症细胞通过侵袭和穿越血管和淋巴管壁,进入血液循环或淋巴系统,从而扩散到身体的其他部位,并形成远处的转移灶。
·肿瘤细胞侵袭能力检测在肿瘤研究中是常规实验,其中Transwell实验是检测细胞迁移能力和侵袭能力常用的实验手段。·Transwell实验的基本原理就是将小室放入培养板中,小室内称为上室,培养板内称为下室,上下层培养液以聚碳酸酯膜相隔,上室内添加上层培养液,下室内添加下层培养液。将研究的细胞种在上室内,由于聚碳酸酯膜有通透性,下层培养液中的成分可以影响到上室内的细胞生长、运动等。

·应用不同孔径和经过不同处理的聚碳酸酯膜,就可以进行共培养、细胞趋化、细胞迁移、细胞侵袭等多种方面的研究。
o 小于3.0um孔径条件下,细胞不会迁徙通过,因此,若研究不涉及细胞运动能力,不需要细胞穿过聚碳酸酯膜,则应选择3.0µm以下孔径,常用0.4、3.0µm。
o 在共培养过程中,将细胞A种于上室,细胞B种于下室,可以研究细胞B 分泌或代谢产生的物质对细胞A的影响。

o可用5.0、8.0、12.0µm膜,上室细胞可穿过聚碳酸酯膜进入下室,计数进入下室的细胞量可反映下室成分对上室细胞的趋化能力。常见的有以下两种情况:
o细胞B对细胞A的趋化作用:将细胞A种于上室,细胞B种于下室,可以研究细胞B分泌或代谢产生的物质对细胞A的趋化作用。
o趋化因子对细胞的趋化作用:将细胞种于上室,下室加入某种趋化因子,可研究该趋化因子对细胞的趋化作用。
o常用8.0、12.0µm膜,上室种肿瘤细胞,下室加入FBS或某些特定的趋化因子,肿瘤细胞会向营养成分高的下室跑,计数进入下室的细胞量可反映肿瘤细胞的迁移能力。

o 常用8.0、12.0µm膜,原理与肿瘤细胞迁移实验类似。
o 上室种肿瘤细胞,下室加入FBS或某些特定的趋化因子,肿瘤细胞会向营养成分高的下室跑,但与肿瘤细胞迁移实验不同的是,聚碳酸酯膜上室侧铺上一层基质胶,用以模仿体内细胞外基质。
o 细胞欲进入下室,先要分泌基质金属蛋白酶(MMPs)将基质胶降解,方可通过聚碳酸酯膜。计数进入下室的细胞量可反映肿瘤细胞的侵袭能力。

o 确定某种物质在一定暴露时间和浓度下对生物正常生理功能的负面影响程度的过程。

o 利用气道上皮细胞研究药物在支气管/肺组织中的转运和研究气道中的病毒感染。

·Transwell实验,也称为Transwell迁移或侵袭测定,是一种用于细胞生物学和分子生物学的实验室技术,用于研究细胞通过多孔膜的运动,它通常用于研究细胞对各种刺激(如生长因子、趋化因子或细胞外基质成分)的迁移、趋化性和侵袭。·Transwell实验对于评估细胞通过多孔屏障迁移或侵袭的能力特别有用,多孔屏障模拟细胞必须穿过体内组织的生理条件。·Transwell实验涉及Transwell小室(插入物)和孔板,它们是一种由分隔两个隔室的渗透膜组成的装置。 通常,顶部室充满细胞,而底部室包含化学引诱剂或诱导细胞迁移的物质。多孔膜允许细胞通过膜上的小孔从顶部室迁移到底部室。·Transwell实验根据是否在小室内添加基质胶分为两种类型:
o迁移测定(未在小室内添加基质胶):在这种类型的测定中,细胞从顶部室迁移到底部室,但不需要降解或侵入膜,这种类型的测定测量细胞响应化学引诱剂梯度而移动的能力。
o侵袭测定(需在小室内添加基质胶):在侵袭测定中,细胞不仅通过多孔膜迁移,还需要通过通常涂覆在膜顶部的细胞外基质(ECM)层降解或侵袭。例如,侵袭测定通常用于研究肿瘤细胞的侵袭行为。
·Transwell实验是体外研究细胞行为的重要工具,可以深入了解各种生物过程,包括癌症转移、免疫细胞迁移和组织发育。通过计算小室底部或培养液内迁移或入侵的细胞数量,或通过测量各种细胞参数(例如细胞运动和趋化反应)的变化来量化细胞行为。

图3. Transwell migration/invasion实验原理
( Methods Mol Biol. 2023;2644:349-359. doi:10.1007/978-1-0716-3052-5_22)

图4. (b) 8μm孔径的聚碳酸酯膜的冷冻断裂SEM图像;
(c) 鳞状细胞癌细胞(SCC)在向下迁移通过8μm孔的过程中的SEM图像;
(d)SCC细胞在向下迁移通过8μm孔的过程中的TEM图像。
[实验材料]
1. 仪器耗材:HUVEC细胞、细胞计数仪、台式离心机、CO2培养箱、倒置显微镜、移液枪、移液管移液器、4℃和-20℃冰箱、24孔培养板、Transwell小室、培养皿、棉球或棉花、碎冰。
2. 试剂:细胞适配培养基、FBS、PBS、DMSO、P/S、胰酶、基质胶、4%多聚甲醛固定液、结晶紫染液。
① Transwell小室:
多种厂家可提供,Transwell小室按照公司的要求,都是一次性使用的。不过其实洗洗泡泡还是可以重复用的。用完后擦去基质胶,再用胰酶和75%酒精泡,可以把膜洗得很干净,用前用紫外里外都照30min。如果买的是铺好胶的,就不需要买Matrigel,二次利用的小室只用来做不需要铺胶的迁移实验。

② 上层培养液:
上层培养液采用无血清培养基,为维持渗透压,可以加入0.05%-0.2% BSA。
③ 细胞:
值得注意的是,有侵袭能力的细胞才可用于Transwell侵袭实验。建议实验前先用酶谱法检测MMPs的表达,特别是MMP-2的表达。如果不清楚细胞MMPs的表达情况,就盲目进行Transwell侵袭实验,可能会造成不必要的浪费,一次Transwell侵袭实验花钱少则数百,多则数千,并不是笔小数目,还是小心为妙。另外,为了让实验结果更明显,可先撤血清让细胞饥饿12-24h,再进行实验。
④ 基质胶:
基质胶是从富含细胞外基质蛋白的小鼠肉瘤中提取的基质成分,主要成分包括层粘连蛋白、Ⅳ型胶原、纤连蛋白、硫酸肝素糖蛋白、触角蛋白、TGF2β及生长因子等人体ECM的大多数成分,类似动物的基底膜。因此,可模拟最真实的体内环境,体外检测细胞的侵袭性,间接反映体内肿瘤侵袭的能力。如果购买的小室是已经铺好基质胶的,那么Matrigel就不需要购买了。

⑤ 下层培养液:
下层常用含5%-10% FBS的培养基,具体浓度根据细胞侵袭力而定,侵袭力弱的细胞可适当提高FBS浓度。下层也可用趋化因子,亦或者将纤维粘连蛋白加入下层培养液作为趋化因子,但个人认为,FBS仍是最合适的。
⑥ 细胞培养板:
常用于Transwell侵袭实验的细胞培养板有6孔板、12孔板、24孔板等,以24孔最常用。细胞培养板没什么特殊要求,普通的细胞培养板就可以。但要注意,细胞培养板应当与购买的Transwell小室相配套。
⑦ 其它:此外膜的下室面可涂上纤维粘连蛋白(Fibronectin,FN),这样做的目的是使穿过膜的细胞更好地附着在膜上,也可用胶原(collagen)或明胶(gelatin)。如果培养时间很长(>24h),细胞还是会掉到下室里面去,所以有条件的话,最好还是在膜下层涂上FN。另外,值得一提的是,膜下层涂上FN还有一定的趋化作用。
[实验步骤]
Transwell细胞迁移/侵袭实验
·Transwell迁移和侵袭实验过程基本上是一致的,唯一的区别是侵袭实验会在上室需铺上一层基质胶(常用人工重构基底膜材料Matrigel)以模仿体内细胞外基质(ECM),细胞欲进入下室,先要分泌基质金属蛋白酶(MMPs)将基质胶降解,方可通过聚碳酸酯膜。·另外,只有侵袭能力的细胞才可用于Transwell侵袭实验,建议实验前先用明胶酶谱法检测MMPs的表达,特别是MMP-2的表达。
(一) Transwell小室制备(迁移实验可省去此步骤)
1. 无基质胶Transwell小室制备
·在4℃条件下(冰上操作)将Matrigel胶用无血清的细胞培养基或PBS缓冲液进行1:8稀释(具体稀释比例需要摸索,根据细胞产生MMPs的量来决定)。·取50-60μl均匀添加到Transwell小室(Transwell chamber)底部膜的上室面,37℃培养箱中孵育1-3h,使基质胶聚合成凝胶薄膜。·孵育后将上室中多余液体吸掉,在每孔中加入100μl无血培养基后,于培养箱放置30min,进行基底膜水化。·如果需要在下室面铺FN的话,可将200μl枪头的尖端剪掉,吸取FN均匀涂抹在小室的下面。用胶原(Collagen)的话,一般配成0.5mg/mL,直接用枪吸了涂在膜上。
Tips:
(1) 将枪头沿小室内壁将Matrigel轻轻打出,不要产生气泡,切忌戳到小室滤膜;
(2) 加入Matrigel胶的体积不可太大,把聚碳酸酯膜浸湿即可;
(3) Matrigel在过高或过低的温度均易凝固,因此操作所需枪头、小室等都应提前在4°C预冷。
(4) 铺胶时保证液面水平,胶的厚度均匀一致,切勿产生气泡。
(5) 常用的是人工重构基底膜材料Matrigel,主要成分为层黏连蛋白和Ⅳ型胶原,如果购买的小室是已经铺好基质胶的,那么Matrigel就不需要购买并基质胶铺板。
2. 有基质胶的Transwell小室制备
(二) 制备细胞悬液
·制备细胞悬液前可先让细胞撤血清饥饿12-24h,进一步去除血清的影响,但这一步并不是必须的。·待测细胞培养至对数生长期,用0.25%胰酶消化细胞2-3min,1000rpm离心细胞3min,离心后弃去上清,用PBS洗1-2遍,接着用无血清培养基悬浮细胞,调整细胞密度至1-10×10^5/ml(根据待测细胞的迁移能力强弱调整细胞数)。
Tips:
(1) 如果细胞迁移能力较弱,可在细胞接种前,先无血清饥饿过夜或提高细胞接种密度。
(2) 如果细胞量过多,穿过膜的细胞会过多,容易造成计数困难;如果细胞量过少,可能还没有到检测的时间点,所有细胞都已穿过,容易造成假阳性结果,因此把握接种密度很重要,需设置浓度梯度进行摸索。
(3) 中和胰酶建议使用大豆胰蛋白酶抑制剂,可以防止使用FBS而削弱细胞迁移/侵袭能力。
(三) 接种细胞
Tips:
(1) 尽量避免气泡的产生:下层培养液和小室间常会有气泡产生,会影响下层培养液的趋化作用。因此一旦出现大气泡,要将小室提起,去除气泡,再将小室放进培养板;个人建议,最好接种细胞后1-2h把培养板从培养箱里拿出来看看,确信没有大气泡产生。
(2) 注意细胞一定要接种均匀,建议沿着壁缓慢加入;
(3) 培养时间的选择除了要考虑到细胞的转移能力以外,处理因素对细胞数目的影响也不可忽视,如某些药物会抑制细胞的增殖。一旦药物抑制了细胞增殖或者诱导出凋亡,使处理组细胞数目少于对照组,那么就难以肯定穿过膜的细胞比对照组少,究竟是由于侵袭被抑制引起,还是处理后细胞数目本身就比对照组少而引起的了。
(4) 相比于迁移实验,侵袭实验多铺了一层Matrigel胶,所以培养时间会更长一些。时间过长不可以,过短也不行,因为细胞内会有一定量的MMPs储存,短时间内可能侵袭能力不会有太大改变。同时从药物被吸收进去,进而发挥作用,影响MMPs表达,到最后释放到培养基中,还需要一个过程。时间点的选择可尽量长点,也可选择多个时间点研究时间依赖效应,但前提是这个时间范围内细胞数目不能有明显变化。
(5) 如果看到细胞在小室内的形态不是正常培养贴壁的形态,而是圆形的,仍是悬浮时的形态,不过会聚集成团,所以看到细胞不正常贴壁也不要紧张,是正常现象。
(6) 每个组重复孔3个(最好4个,一定要有复孔思维),接种过程要反复多次混匀。
(四) 检测穿过的细胞数(计数的结果可做成统计图,辅助呈现数据)
1、直接计数法
(1) “贴壁”细胞计数
·这里所谓的“贴壁”是指细胞穿过膜后,可以附着在膜的下室侧而不会掉到下室里面去。·可以通过给细胞染色(如结晶紫染色、台盼蓝染色、Giemsa染色、苏木精染色、伊红染色),在镜下计数细胞。
o ① 细胞固定:用镊子小心取出小室,吸干上室培养基,用棉签轻轻擦拭Matrigel和上室内的细胞。取新的24孔板加入4%多聚甲醛600μL,将小室放入后室温固定20-30min。
o ② 细胞染色:取出小室,吸干上室固定液,移到预先加入约800μl 0.1%-0.2%结晶紫的孔中,室温染色15-30min。除去未与细胞结合的结晶紫,用棉签轻轻擦拭小室的上侧,将非特异性结合于小室上表面的染料擦掉,以便后续镜检计数。
Tips:
(1) 固定染色擦洗时动作小心,避免擦去膜底面的细胞。但一定要充分擦净膜表面上未迁移的细胞,以免影响读数。尤其是膜周边上可用细牙签或小镊子缠上湿棉花擦洗,但要小心避免将膜戳破。
(2) 使用结晶紫染色要注意,染色前要将膜风干,否则可能会染不上。
o ③ 细胞计数:轻轻用清水冲洗浸泡数次,取出小室,吸去上室液体,用湿棉棒小心擦去上室底部膜表面上的细胞。用小镊子小心揭下膜,底面朝上,适当风干后,移至载玻片上用中性树胶封片。在高倍显微镜下进行观察和拍照,随机选取5个视野(上、下、中央、左、右各1个)计数呈紫色的阳性细胞。也有不少人用手术刀将膜切下后染色,再贴在玻片上,滴二甲苯,再盖上盖玻片,就可以长期保存。



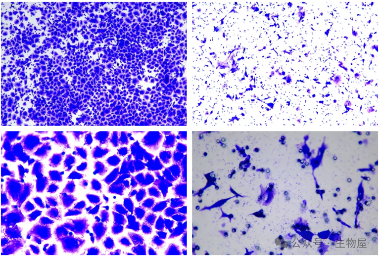
图5. Transwell实验显示miR-623抑制乳腺癌细胞的迁移和侵袭
(Aging. 2020;12(11):10246-10258. doi:10.18632/aging.103182)
Tips:
(1) 充分晾干,避免残留水分导致镜下聚焦不一致。
(2) 小室和膜上都无法标记,操作时应小心避免混淆实验组和对照组。
(3) 膜上本来就有小孔(白色透明的球形),所以切不可把小孔当做是细胞计数。
(4) 计数细胞时,Transwell膜中心的视野和膜边缘的视野都需要选择,以便准确体现穿过整个膜的细胞数。
(2)“非贴壁”细胞计数
2、间接计数法(主要用于穿过细胞过多,而无法通过计数获得准确的细胞数的情况)
(1) MTT法
·噻唑兰(MTT),可透过细胞膜进入细胞内,活细胞线粒体中的琥珀酸脱氢酶能使外源性MTT还原为难溶于水的蓝紫色的甲替结晶并沉积在细胞中,结晶物能被二甲基亚砜(DMSO)溶解,用酶联免疫检测仪在490nm波长处测定其光吸收值,可间接反映活细胞数量。·该方法用于一些生物活性因子的活性检测、抗肿瘤药物筛选、细胞毒性实验以及肿瘤放射敏感性测定等。
o ① 用棉签擦去基质胶和上室内的细胞。
o ② 24孔板中加入500µL含0.5mg/mL MTT的完全培养基,将小室置于其中,使膜浸没在培养基中,37℃, 4h后取出。
o ③ 24孔板中加入500µL DMSO,将小室置于其中,使膜浸没在DMSO中,振荡10min。取出小室,24孔板于酶标仪上测OD值。
(2) 结晶紫检测
(3) 荧光试剂检测
[注意事项]
1.基质胶在室温下溶剂凝固,铺胶过程全程需要在冰上操作。在4度冰箱中溶解Matrigel胶,这一步切记,不要把胶在室温存放太长时间,否则胶就凝固,室温下的胶在没有稀释的情况下很容易凝固,也就不能用了。
2.基质胶浓度也是影响细胞迁移和侵袭的因素之一,所以基质胶的浓度和稀释比例需根据供应商提供的信息和实验具体情况调整,必要时可设置预实验摸索最佳浓度和稀释比例。一般常用浓度为1mg/mL。
3.铺胶时,尽量垂直小室底部在小室底部中间加入,可避免气泡的产生。
4.吸出小室内未结合的基质胶时需确保移液管的尖端不会刮伤凝胶层表面。
5.不同细胞的迁移和侵袭能力不同,可设置一系列细胞密度梯度摸索合适的细胞接种密度。
6.小室的放置过程经常有气泡产生,一旦产生气泡,下层培养液的趋化作用就减弱甚至消失,因此需特别留心。一旦出现气泡,需将小室提起或用枪头去除,去除气泡后重新放置。
7.接种细胞1-2小时后,可对培养板进行检查,确保没有大气泡产生。但有时会观察到有极小的汽包产生,但并不影响细胞迁移和侵袭,也可轻轻敲击孔板去除。
8.用PBS清洗小室时,需避物理触碰小室底部。可以准备几个无菌烧杯或培养皿,倒入适量PBS,依次涮洗,可提高效率。
9.拍照前需适当晾干小室,水分会影响镜下视野。
10.细胞处理:在进行细胞迁移实验前,应对需要检测迁移能力的细胞进行处理,如培养、传代、酶消化等。同时还需注意控制每次处理时间和方法的一致性,以保证实验结果的可靠性。
11. 细胞计数:在进行实验时,应精确计算每个实验组的细胞数。这可以通过显微镜下的视觉观察或使用细胞计数仪来完成。正确的细胞计数可以帮助进行实验设计和数据分析。
12.实验条件:细胞迁移实验需要在特定的温度、湿度和氧气含量下进行,以模拟体内环境。此外,添加的培养基和补充物(如生长因子)也应根据实验需要作出相应调整。
13.试验板设计:选择合适的试验板对于实验结果的准确性和可重复性至关重要。通常情况下,会采用Transwell(上下室式小孔培养皿)或Boyden(下室式多孔滤器)等不同类型的试验板,其特点和使用方式也各不相同。
14.数据分析:细胞迁移实验后,需要对数据进行准确的分析和统计。这通常包括对不同实验组之间的差异进行比较,并确定每个实验组所含细胞数的平均值和标准差等指标。在数据分析中,还应注意检查和排除实验过程中可能出现的误差或偏差。
15.细胞适应性:细胞的适应性是细胞迁移实验中需要特别注意的一个方面。在实验前,应将细胞暴露于与实验条件相似的环境中,以使其能够适应新的生长条件。此外,在实验过程中,还应对细胞进行必要的养护和处理,如更换培养基、消毒实验器具等。
16.技术操作:细胞迁移实验需要进行多种技术操作,如细胞划痕、Transwell小室、Boyden试验板上下室的分离等。这些技术操作需要仔细掌握,并严格按照实验方法和步骤进行,以保证实验结果的准确性和可重复性。
17.防止污染:由于细胞容易受到环境中的微生物污染,因此在进行细胞迁移实验时,应严格执行无菌操作规范,使用经过消毒的实验器具和培养基,并定期检查细胞是否存在菌落或其他污染问题。
18.控制实验变量:在进行细胞迁移实验时,应对实验变量进行充分控制,以减少不必要的误差和干扰。例如,可以控制细胞种类、细胞密度、实验时间、培养基成分等因素,以保证实验结果的准确性。
19.质量控制:实验中需要进行质量控制,以确保实验结果的准确性和可重复性。这包括对细胞的纯度、活力、稳定性等方面进行检测,并通过细胞培养、传代等操作来保证细胞的稳定性和一致性。
20.实验重复性:为了验证实验结果的可靠性,迁移实验应该进行多次重复。每个实验组应包括多个独立的生物学重复,并且在不同时间和不同人员之间进行独立重复实验,以避免操作误差和其他不确定因素对实验结果的影响。
21.数据分析和统计:在数据分析和统计过程中,应使用适当的方法和工具来处理实验数据。例如,可以使用t检验或方差分析等统计方法来比较不同实验组之间的差异,并计算平均值和标准差等指标。此外,还应注意排除可能存在的异常数据,以保证实验结果的准确性和可靠性。
22.使用的药物不仅会抑制肿瘤细胞侵袭力,还对细胞增殖有明显抑制。选择的药物浓度是用MTT或CCK筛选出的72h的IC50。用这个浓度处理细胞,24h内对细胞增殖并无明显抑制,但24h后,抑制作用就开始出现了。所以,用这个浓度来做Transwell,处理时间也必须限定在24h内,否则一旦药物抑制了细胞增殖或者诱导出凋亡,使处理组细胞数目少于对照组,那么就难以肯定穿过膜的细胞比对照组少,究竟是由于侵袭被抑制引起,还是处理后细胞数目本身就比对照组少而引起的了。
23.膜的孔径大小要选择恰当,否则太小细胞穿不过去,太大没有对比性。
24.小室进行多聚甲醛固定前,先在PBS里面洗一下;
25.多聚甲醛清洗以后,直接放入结晶紫里染色,可不进行清洗;
26.结晶紫固定完毕以后,棉签擦拭小室时,小室内必须含有一些PBS,擦拭起来会更方便;
27.拍照时,一定要将小室的孔给拍出来,增加结果的真实性。
28.细胞固定时用棉签擦去未迁移细胞时需要控制力度务必小心,不要戳破底部膜,更不要擦去已穿膜的细胞。
29.对于比较难穿膜的细胞,可以在实验开展前撤掉血清节饥饿处理12h-24h。
30. Matrigel是一种细胞外基质,4℃时是液体,在22-35℃时快速成胶,溶解时需在4℃冰上过夜冻融,所有用品在使用前需置于冰浴,必须使用预冷的移液管、吸头及小管操作Matrigel。可将冻融后的Matrigel分装在多个小管,所有分装均需用预冷的冻存管,迅速冷冻并保存,避免多次冻融。使用 Matrigel时注意无菌操作。
31.当实验用的细胞为圆形时,实验人员容易将聚碳酯膜上小孔误认为细胞进行计数。
[常见问题及解答]
1. 细胞聚集
在使用Transwell小室等试验板进行细胞迁移实验时,可能会出现细胞聚集的情况,影响实验结果。解决方案是增加洗涤次数或更换培养基,以去除细胞聚集物。
2. 实验变异性大
实验变异性大可能是由于多种因素导致的,如操作不规范、试验板设计不当、细胞处理不当等。解决方案是优化实验操作流程、使用合适的试验板和培养基、控制实验变量等。
3. 细胞污染
细胞污染可能来自多个方面,如细胞培养器具、培养基等。为了预防细胞污染,应该密切关注培养器具的清洁和细胞生长的条件,如温度、湿度和气体含量等。
4. 实验重复性差
实验重复性差可能原因是由于不同时间点之间的环境条件、试验板设计不当、实验者技术水平不同等。解决方案是固定实验条件、使用一致的试验板和培养基、对实验者进行统一的操作规范等。
5. 实验结果不稳定
实验结果不稳定可能是由于细胞处理不当或细胞质量存在差异。解决方案包括使用同一批次的细胞、加强细胞保养和细胞操作流程的规范性等。
6. 实验验证失败
实验验证失败的原因可以是多种,如试验板设计不当、实验操作过程中的误差等。解决方案是重新评估试验板的选择、检查操作流程的严格性,并尝试改变实验参数以更好地适应实验条件。
7. 细胞死亡
在进行、实验时,可能存在细胞死亡的情况。细胞死亡通常是由于培养条件不当、细胞密度过高或者过低等原因引起的。
解决方案可以是优化培养条件、控制细胞密度、加强细胞保养等。
8. 实验结果不一致
实验结果不一致可能是由于不同实验组之间的差异导致的,如细胞来源、实验时间、温度和湿度等因素。
解决方案是尽可能地标准化实验条件、使用相同的试验板和培养基,并进行更多的重复实验以获取更加准确的数据。
9. 实验过程中的误差
在进行细胞迁移实验时,操作人员可能会因为技术水平不够或操作不规范导致误差的发生。为了避免实验过程中的误差,可以通过培训操作人员、加强实验流程的规范性等方式进行解决。
10. 细胞不侵袭可能原因
(1)首先明确细胞是否具备侵袭能力。建议实验前用酶谱法检测基质金属蛋白酶(MMPs)的表达,特别是MMP-2的表达。
(2)为了让实验结果更明显,可在无血清的情况下,让细胞饥饿12-24h,再进行实验。
(3)很可能是上室混有高浓度血清或者是小室孔径不对。要核对小室的孔径,避免与孔径较小的小室用混。
11. 染色后细胞分布不均一可能原因

12. 细胞接种剂量
不同的细胞,其侵袭能力是不同的,细胞量过多,穿过膜的细胞会过多过快,最后会难以统计结果;而细胞量过少,可能还没到检测的时间点,所有的细胞都已穿过,进入下室。因此最少也要保证在收样的时候,上室内还要有一定量的细胞存在。几种常见细胞的每孔接种数量如下:

13. 为什么细胞迁移效率很低?
可能的原因包括:细胞密度太低、涂层物不合适、培养基成分有问题、孵育时间不够等。建议优化实验条件,逐一排查原因。
14. 是否必须使用Transwell孔板?
Transwell孔板是一种常用的迁移实验装置,但不是唯一选择。根据实验目的,也可使用Boyden室或Dunn室等其他迁移装置。
15. 如何评估细胞迁移程度?
可以通过计算迁移细胞的数量或观察迁移细胞的形态来评估细胞迁移程度。使用显微镜或图像分析软件进行定量分析。
16. 是否可以使用荧光标记的细胞进行Transwell迁移实验?
是的,荧光标记的细胞可用于Transwell迁移实验,以便通过荧光显微镜或流式细胞术等技术更方便地观察和定量细胞迁移情况。
17. 是否可以使用无血清培养基进行Transwell迁移实验?
是的,可以使用无血清培养基来减少血清因子对细胞迁移的干扰,并更准确地评估细胞自主迁移能力。
18. 在进行Transwell迁移实验时,是否需要添加化学诱导剂或膜上诱导因子?
部分情况下,为了模拟体内组织的化学梯度或细胞迁移的生理条件,可以添加化学诱导剂或膜上诱导因子。但需根据具体研究问题进行决定。
19. 如何解读Transwell迁移实验的结果?
实验结果可根据不同实验目的和假设进行解释。一般来说,细胞迁移数目和迁移程度较高的样本表示细胞迁移能力较强,而较低的样本则可能存在迁移受抑制或缺陷。
20. Transwell迁移实验是否适用于所有细胞类型?
Transwell迁移实验对于大多数粘附性细胞类型是适用的。然而,对于悬浮生长的细胞或非粘附性细胞,可能需要其他特殊装置或技术。
21. 是否可以同时进行细胞增殖和迁移实验?
是的,细胞增殖和迁移是两个相关但不同的细胞行为。如果研究需要,可以同时进行细胞增殖和迁移实验,以综合评估细胞的生长和迁移特性。
22. 如何优化Transwell迁移实验的条件?
优化Transwell迁移实验的条件可以考虑调整细胞密度、涂层物、培养基成分、孵育时间等因素。通过系统地优化实验条件,可以获得更可靠和重复性的实验结果。
23. 转移过多或过少
预实验结果不准确,细胞状态不佳或细胞接种时计数有误差,所以细胞状态不佳时不建议进行实验,计数前细胞要重新混匀,如果多次正式实验和预实验差距较大则需要重新进行预实验确定接种密度及转移时间。
24. 复孔间差距较大
计数不准确或加入多个小室时细胞沉降,所以每加一个小室后建议重新混匀。
25. 拍照时局部图片对焦不清,背景有染剂
答:擦拭小室时太用力导致小室局部变形,进而导致拍照时局部对焦不清,另外如果擦拭不干净背景就会有染剂,所以擦拭小室时需掌握好力道,多擦拭几遍。
26. 迁移/侵袭实验中细胞未能迁移至基底室
(1)选择的膜孔径偏小。确保选择合适孔径的膜,可以尝试更大孔径的膜。
(2) ECM铺得太多。过多的ECM可能会堵住孔,尝试使用少量ECM或者其它种类的ECM。
(3)气泡聚集。小室下面的气泡会妨碍细胞迁移,导致局部无细胞迁移。可以先放入小室,再先加培养基,避免气泡产生。
(4)对细胞没有进行饥饿处理,以及需要设置上下室培养基的FBS浓度梯度。
(5)对细胞的刺激没有促迁移作用。确保采用适合该细胞迁移的刺激以及正确的浓度。设置阴性和阳性对照组。
(6)细胞传代次数太多。随着衰老和代数增加,细胞形态会发生一些变化。复苏代数靠前的细胞重新开始实验。
(7)实验所用的细胞系不正确。确保使用正确的细胞系以及正确的刺激浓度。设置阴性和阳性对照组。
27. 迁移/侵袭实验中,染色后的结果较难分辨迁过去的细胞
(1)背景太脏。使用干净的试剂,操作过程中不要带入杂质,确保背景干净,不会干扰显微镜观察。
(2)小室是多孔径滤膜,染色后显微镜下会看到很多被染上色的圆孔,这是膜的微孔,不是细胞,只有具有明显拉长、扩张等迁移状态的染色才是细胞。
(3)培养时间过短。如果很多细胞只染到核,没有拉伸的细胞形态,则提示迁移的时间可能不够,需要延长时间。
28. 实验结果统计方法
除了染色和显微镜下计数以外,还可以使用多种试剂分离细胞并计数;或使用染色、脱色、检测脱色液的OD值的方式间接反映细胞数;亦可使用钙黄绿素等多种荧光染料对细胞染色后在读板机上读取荧光值。
29. 迁移/侵袭实验中,对照组和测试组之间没有差别
● 细胞传代过多。复苏代数靠前的细胞,重新开始实验。
● 移去培养基的顺序有误(基底室和上室)。使用合适的对照,检查添加/替换的顺序是否会影响实验结果。
● 使用的膜孔径大小不合适,太大或太小都会导致细胞很容易迁过去或者很难迁移。
● 小室膜的上层擦拭不充分。一些实验只需要观察基底面的细胞,但是两面的细胞会被染上色并检测到,所以要擦去上层。
30. 显微镜下观察不到细胞
膜的类型不适合显微镜观察。不是所有膜的材质或孔径大小都适合于显微镜观察。查看说明书以找到推荐合适的膜。悬挂式只有1uM是透明的;站立式只有PTFE膜透明。
31. Matrigel使用说明
Matrigel应避免反复冻融,分装时将整瓶Matrigel埋没在碎冰盒中,再将冰盒置于4℃冰箱中,建议放在冰箱靠后的位置,放置过夜,避免使用冰箱门进行解冻,因为其内装物的温度在反复打开时会迅速上升,导致材料过早凝胶化。分装后置于-20℃保存,长期保存可放于-80℃冰箱中。
32. 基质胶的分装和保存
基质胶买来放在-20度冻存,为了避免反复冻融造成损坏,应该分装后再使用(或者分装一部分)。
步骤:将基质胶从-20℃取出,4℃融化,融化后继续埋在冰盒中。超净台中,取事先遇冷好的1.5ml EP管,插在冰上。按照需要,分装已经融化的基质胶。常规而言,一般一管分装100ul,可以铺约10个小室(低浓度)。具体的分装管数和分装量依据自己的实验而定。例如,每次吸取100ul基质胶加入到插在冰上的EP管内。注意,吸取速度要稍缓,且要在移液枪弹簧完全回升后还要稍等待1-2s,待融化后的胶完全吸到枪头内。将分装后的基质胶EP管和原基质胶瓶子放回-20℃保存。
33. 如何选择Transwell/Insert小室产品的孔径?
首先需要明确您所进行的应用是否需要细胞穿过小室膜上的孔。一般来说,共培养实验、Caco-2 Transport实验及构建细胞极化模型等不需要细胞穿膜,大多选择0.4um或1.0um等小孔径的产品。而在细胞迁移实验及侵袭实验中,细胞则需要穿过上室的膜、到达膜的背侧(少数情况下会落至下室中,如悬浮细胞的迁移/侵袭实验),因此需要选择较大孔径,(如肿瘤细胞的迁移、侵袭实验常选择8um孔径的产品)。
下表为一些常见应用和细胞种类的使用孔径推荐,供您参考,同时也可以参考已发表的相关文献来辅助您的判断。对于一些要求严格的实验,我们建议在正式实验前选取一系列孔径进行预实验来确定最适合于您的细胞培养和特殊应用的尺寸。


34. 实验细胞贴壁生长时的直径可能接近20μm,在进行迁移、侵袭实验时使用8μm孔径小室,细胞能顺利穿膜吗?
细胞在迁移、侵袭实验时,受到趋化因子的吸引,会挤压自身以穿过膜上的小孔,并非以贴壁生长时的铺展状态穿膜。相反,如果孔径过大,不利于细胞贴壁,也容易使细胞直接落入下室,无法正常进行实验。目前我司提供的小室产品最大孔径为8μm,能够满足大多数较大细胞(如多数肿瘤细胞)穿膜的需求。
35. 小室产品可否灭菌后重复使用?
小室产品为一次性使用的耗材,不可重复使用。小室的孔板和膜的材质均无法承受高压蒸汽灭菌,且无法确认重复使用的小室是否被彻底清洁,因此无法保障重复使用的实验效果。
36. 在接种细胞前,是否需要进行“水化”?
大多数应用并不需要额外进行“水化”操作,该操作主要用于Matrigel预包被的侵袭小室,在使用前需平衡至室温,并加入预温至37摄氏度的无血清培养基,于培养箱中水化两小时。
少数情况下,提前在上下室加入培养基,并在培养箱中预孵育大于1小时可帮助细胞贴壁,但大多数细胞可以直接接种。
37. 接种细胞的加液顺序如何?
一般先将预热的培养基加入多孔板的孔中(下室),再轻轻将小室放入孔中。在放入时,建议将小室稍稍倾斜,一侧先接触液面,以免垂直放入在小室下生成气泡。(如果您使用是Falcon Insert及其配套的培养板,请将小室的凸缘放到孔顶端边缘凹槽中。)之后便可将混合均匀的细胞悬液加入小室内部。
38. 小室的上下室加液量是否有推荐?
小室的上下室加液后液面基本相平,Corning品牌和Falcon品牌小室由于设计尺寸 不同,推荐的加液量亦有所不同,详请见下面表格:

39. 小室膜上既然有许多小孔,在包被基质蛋白或一些单独加液在上室的情况下,液体是否会很快漏至下室?
一般不会。小室的膜上的小孔孔径有限,在表面张力的作用下,加入上室的包被液并不会很快漏下,如果短时间内发现有液体大量滴下,需检查小室的膜是否有裂痕或不完整的情况。
40. 共培养实验中,上下室接种细胞的位置一般如何安排?
由于小室膜上小孔的存在,上下室的培养基可以交流互通,接种在上下室的细胞是相互影响的。接种细胞的位置安排需考虑收集细胞、进行下游检测的方便程度,同时也需要考虑到上下室培养面积的差异(上室的有效生长面积比下室小,相应地,接种的细胞量恐怕有差异),您可参考相关文献或进行预实验来最终决定实验安排。
41. 小室内接种的细胞可否消化收集?
可以的。您可采用在普通培养器皿中消化相应细胞的试剂(如胰酶等),在上下室均加入推荐体积的消化液,具体体积及详细操作步骤请见我司操作指南。
42. 对小室内接种的细胞进行药物处理时,药物是仅需加入上室吗?
由于小室膜上小孔的存在,我们建议您在上下室内均加入含有同样浓度药物的培养基,以确保您的药物处理浓度。
参考文献
1. DOI:10.1016/j.cell.2011.09.024.
2. DOI:10.1007/s00383-013-3369-6.
3.Transwell In Vitro Cell Migration and Invasion Assays. Methods Mol Biol. 2023; 2644: 349–359. doi: 10.1007/978-1-0716-3052-5_22.
4. miR-623 suppresses cell proliferation, migration and invasion through direct inhibition of XRCC5 in breast cancer. Aging(Albany NY). 2020;12(11):10246-10258. doi:10.18632/aging.103182.
5. Tumor metastasis: moving new biological insights into the clinic. Nat Med. 2013;19(11):1450-1464. doi:10.1038/nm.3391.
6. Tumor metastasis: mechanistic insights and clinical challenges. Nat Med. 2006;12(8):895-904. doi:10.1038/nm1469.
7. Tumor metastasis: molecular insights and evolving paradigms. Cell. 2011;147(2):275-292. doi:10.1016/j.cell.2011.09.024
8.https://www.corning.com/cn/zh/products/life-sciences/products/permeable-supports/select-insert.html
9. Mutational drivers of cancer cell migration and invasion.Br J Cancer 124, 102–114 (2021).
10. Cell migration and invasion assays as tools for drug discovery. Pharmaceutics. 2011;3(1):107-124.