
·子宫内膜间质结节

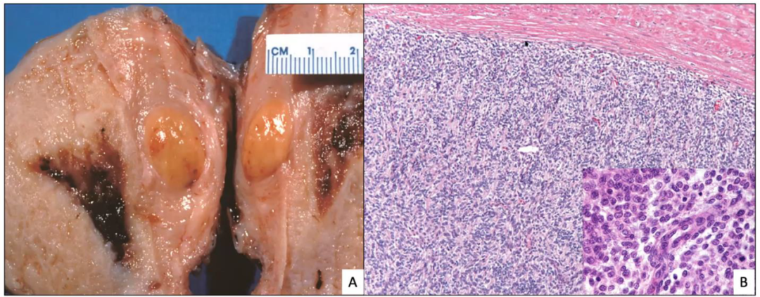
图1. 子宫内膜间质结节。(A)大体上,子宫内膜间质结节表现为小而境界清楚的圆形结节,质软。(B)组织学上,子宫内膜间质结节边缘呈推挤性;瘤细胞小,细胞核卵圆形,形态学类似增生期子宫内膜间质。插图示瘤细胞高倍观,可见螺旋形小动脉样血管。
界限清楚的子宫内膜间质肿瘤,细胞类似增生期子宫内膜间质,缺乏血管和淋巴管侵犯
(大体)平均直径7cm(1-22cm),界限清楚[特征] ,切面灰白灰黄
(结构)肿瘤与周围肌层界限清楚 (最多有≤3个局灶交叉突起,深度<3mm)[特征],肿瘤细胞体积较小,排列密集,均匀一致 (类似增生期子宫内膜间质),部分细胞可围绕小动脉分布 (似螺旋小动脉),肿瘤内部缺乏大的厚壁血管 (若出现常在肿瘤周围),可能伴有胶原条带、泡沫组织细胞和胆固醇裂隙,可能伴有纤维黏液变性,缺乏血管或淋巴管侵犯[特征]
(细胞)细胞核圆形或卵圆形,核仁不明显,胞浆稀少,核分裂像通常少见(如果增加并不排除此诊断) [核分裂像意义不大] ,可见平滑肌分化、性索样分化[注意鉴别相应肿瘤] 。少见子宫内膜样腺体、横纹肌样或上皮样形态
CD10、ER、PR:阳性,Cyclin D1局灶阳性,CK可能阳性,SMA、Desmin、h-caldesmon显示平滑肌分化成分,WT1、Inhibin、Calretinin、Melan-A、CD99显示性索样成分
·低级别子宫内膜间质肉瘤

图2. 低级别子宫内膜间质肉瘤。(A)大体上,低级别子宫内膜间质肉瘤呈灰黄色实性肿物,边界不规则、有肌层的深部浸润。(B)组织学上,低级别子宫内膜间质肉瘤向周围肌层深部浸润,本例中深部切缘(墨染处)可见肿瘤。(C)伴广泛淋巴管浸润的低级别子宫内膜间质肉瘤,插图示肿瘤细胞高倍观,细胞小而深染,形态温和,伴螺旋动脉样血管。(D-H)低级别子宫内膜间质肉瘤的免疫组化,弥漫强阳性表达CD10(D)、IFITM1(E)、ER(F),不表达desmin(G),Ki-67增殖指数低(H)。

图3. 低级别子宫内膜间质肉瘤的形态学亚型。低级别子宫内膜间质肉瘤中伴“星爆样”表现的局灶平滑肌分化(A)、上皮样改变(B),免疫组化desmin阳性(C)。

图4. 低级别子宫内膜间质肉瘤中的性索分化灶(左)、纤维母细胞样分化灶(中)、子宫内膜腺体分化灶(右)。
恶性间质肿瘤,细胞类似增殖期子宫内膜间质,但出现浸润性生长,伴或不伴血管和淋巴管侵犯。
(大体)直径5-10cm,界限不清 (有时呈息肉状,切面灰黄灰褐色,常可见肌层浸润、脉管内瘤栓
(结构)肿瘤呈不规则岛状,呈“舌状”浸润子宫肌层[特征],肿瘤细胞排列密集,部分细胞可围绕小动脉分布,肿瘤内部缺乏大的厚壁血管 (若出现常在肿瘤周围) ,伴或不伴血管或淋巴管侵犯,可能伴有胶原斑块、黏液样间质、泡沫组织细胞、囊性变或坏死
(细胞)细胞核圆形或胖梭形,胞浆稀少 (类似增生期子宫内膜间质),细胞缺乏明显异型 (整体上均匀一致),核分裂像通常少见 (有时可能较活跃)[核分裂像意义不大],可见平滑肌分化、性索样分化[注意鉴别相应肿瘤],少见奇异核、上皮样/肉瘤样变、子宫内膜样腺体或假乳头状
CD10、ER、PR阳性,Cyclin D1局灶阳性,CK可能阳性,WT1、Inhibin、Calretinin、Melan-A、CD99显示性索样成分
·高级别子宫内膜间质肉瘤
恶性间质肿瘤,由高级别圆形或梭形细胞组成,有时伴有低级别成分
(大体)体积较大(平均7.5cm),界限不清 (息肉状或肌壁间生长),切面鱼肉状,常伴出血、坏死

(AB)本例为YWHAE-NUTM2融合的高级别子宫内膜间质肉瘤,低倍镜下呈浸润性生长、侵入肌层,并有淋巴-血管间隙浸润;高倍镜下,瘤细胞呈上皮样,核分裂增加。该例肿瘤免疫组化CD10(C)、ER(D)阴性,但Cyclin D1弥漫、强阳性(E)。
[伴YWHAE-NUTM2A/B融合的肿瘤](NUTM2A/B又名FAM22) 肿瘤多呈实性巢状,肿瘤广泛浸润、破坏子宫肌层(舌状浸润肌层),间质可见毛细血管网间隔,常见脉管侵犯、坏死,细胞圆形,体积较大(约小淋巴细胞5倍)[特征],胞浆较少,呈嗜酸性,胞核不规则,染色质空泡状,可见核仁(高级别,但异型程度<未分化癌),核分裂像活跃(常>10个/10HPF),部分病例含有低级别成分,常伴黏液样间质,少见子宫内膜样腺体、假乳头状、性索样、横纹肌样分化

(左)本例为伴BCOR异常的高级别子宫内膜间质肉瘤,低倍镜下背景为显著黏液样表现;(右)高倍镜下肿瘤细胞为形态单一的梭形表现。
[伴BCOR基因改变的肿瘤]包括ZC3H7B-BCOR融合、BCORITD(内部重复扩增) 肿瘤呈舌状浸润肌层,肿瘤以梭形细胞为主[特征],呈条束状排列,可见脉管侵犯、坏死,间质常伴黏液样变[特征],胶原斑块少见,细胞具有轻-中度异型,核分裂像活跃(常>10个/10HPF)
附1: 子宫内膜间质肿瘤及可能需鉴别的病种临床特征概述

附2:有助于SMARCA4缺失未分化肉瘤和未分化子宫内膜癌鉴别的特征总结

附3:子宫内膜间质肿瘤的分子改变及免疫组化特征

Niu S, Zheng W. Endometrial stromal tumors: Diagnostic updates and challenges. Semin Diagn Pathol. 2022;S0740-2570(22)00003-X. doi:10.1053/j.semdp.2022.01.004