
·浆液性囊腺瘤



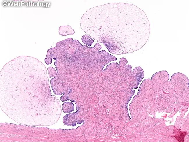
由类似输卵管上皮细胞组成的良性浆液性肿瘤,单发,直径1-30cm,表面光滑(肿瘤大小差别较大),切面呈囊性,薄壁,内壁光滑,内含清亮液体,当囊肿小于1cm时,称为皮质包涵囊肿
浆液性表面乳头状瘤

呈外生性生长(卵巢表面生长+小而简单的乳头)
浆液性腺纤维瘤
以实性为主,伴有小囊肿(明显的纤维间质+伴有小囊肿或腺体)
浆液性囊腺纤维瘤

以囊性为主,但被数量不等的实性区包绕(明显的纤维间质+内嵌囊肿,以及宽大简单的乳头)
·浆液性交界性肿瘤


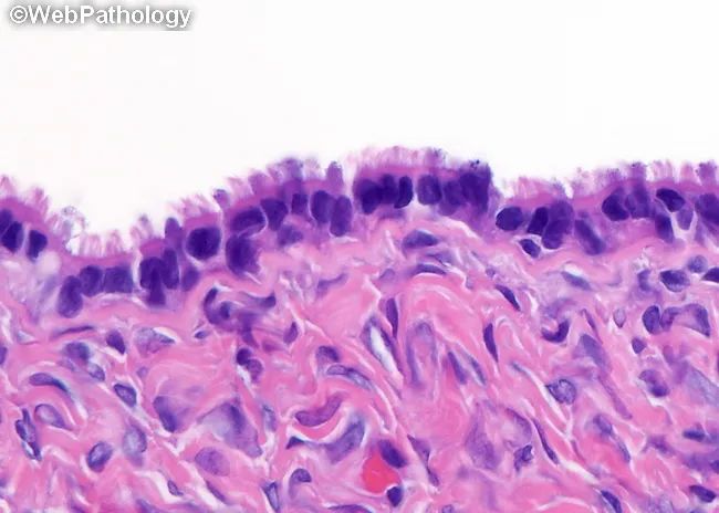
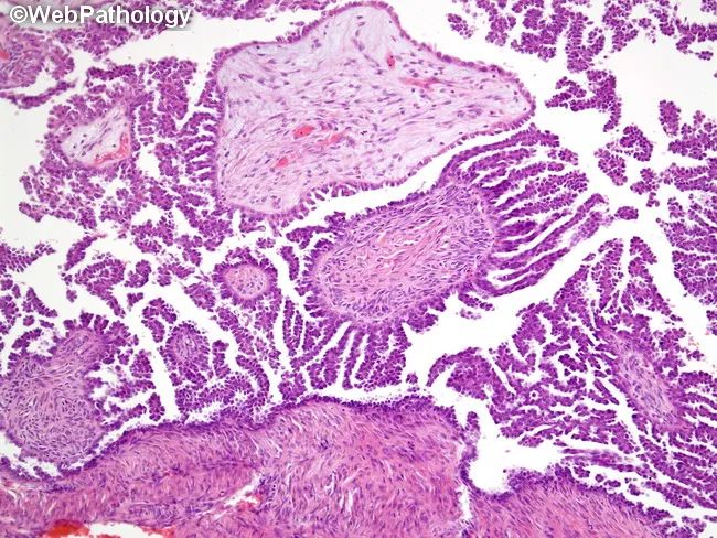
卵巢交界性浆液性肿瘤(Serous borderline tumour,SBT)非浸润性、低级别、浆液性上皮增生性肿瘤
多数单侧发生 (30%累及双侧,尤其是微乳头亚型)直径通常>5cm ,通常囊内生长,部分可累及卵巢表面 (腹膜种植比率更高),切面呈囊性或囊实性,囊内可见细小、易碎的乳头
(结构)囊腔内结构复杂,>10%区域衬覆上皮增生(复层、出芽和乳头)[特征] 乳头由大到小、逐级分支,并可见单个细胞或细胞团游离在腔内[特征] 局灶可能出现出芽互相融合,形成罗马桥或筛状结构,局灶可能出现微乳头型成分,范围<5mm,缺乏不规则生长的实性区、密集小巢状或复杂腺样结构 (即缺乏间质浸润)
(细胞)细胞形态具有一定异质性,乳头常衬覆立方或柱状的输卵管型上皮 (纤毛细胞或分泌细胞)[特征] ,可伴有多少不等的多角形细胞或靴钉样细胞,胞浆嗜酸性,1/3肿瘤含有一些核圆形伴丰富嗜酸性胞质细胞,核染色质细腻,偶可见核仁,核异型性轻度,核分裂象少见 (<4个/10HPF),常可见砂粒体(超过一半的病例)
CK、EMA、WT1、PAX8阳性,ER、PR阳性,P53野生型
浆液性交界性肿瘤,微乳头亚型(micropapillary serous borderline tumor,MSBT) (又称低级别浆液性非浸润性癌)

(大体)多数双侧发生(约60%,高于经典型SBT),常累及卵巢表面(约50%),切面呈囊性或囊实性,囊内可见乳头
(形态)微乳头直接从大乳头直接发出(乳头直接分支,而非逐级分支)[特征] 微乳头轴心纤细,长:宽5:1 (细长的指状乳头)[特征]
(细胞)肿瘤细胞形态更加均匀一致[特征] ,(不同于经典型SBT的细胞异质性)常缺乏纤毛细胞或嗜酸性细胞,核圆,胞质稀少,可见明显小核仁,核异型性轻-中度 (超过经典型SBT)[特征],核分裂像少见(超过经典型SBT)
CK、EMA、WT1、PAX8阳性,ER、PR阳性,P53野生型
·浆液性癌
低级别浆液性癌Low-grade serous carcinoma (LGSC)

(大体)常双侧发生,切面囊实性,可见内生或外生乳头,可伴钙化
(结构)肿瘤常出现多种生长模式,常见密集小巢状和微乳头状 (两者周围常伴裂隙)[特征],也有不规则实性、复杂腺样、筛状结构 肿瘤呈破坏式、浸润性生长[特征] ,常见砂粒体(少数病例具有丰富的砂粒体),缺乏坏死 (不如HGSC常见),常伴发SBT,或出现在SBT基础上(尤其是微乳头型或筛状)
(细胞)细胞立方或低柱状,核轻-中度异型 (核大小变化<3倍,可见核仁)[特征],核分裂像少见(通常<3-5/10HPF)可合并SBT (尤其是微乳头型)
WT1、PAX8、CK7阳性 (WT1有助于鉴别卵巢和子宫内膜浆液性癌),P53显示野生型(高级别浆液性癌常显示突变),ER、PR不同程度阳性,P16斑片状阳性 (高级别浆液性癌常显示强阳性),CK20、CDX2阴性
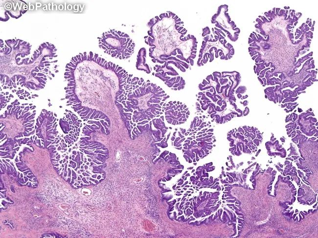
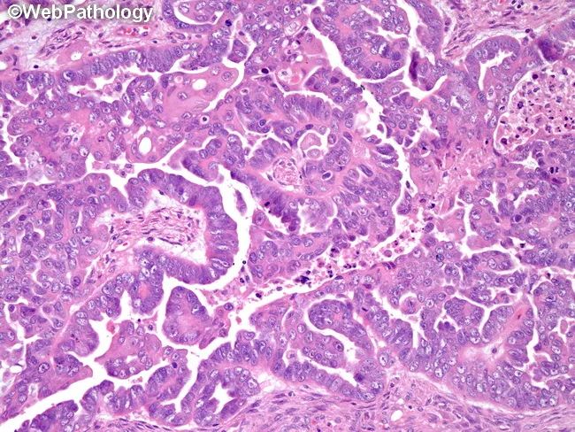
高级别浆液性癌high-grade serous carcinomas (HGSC)


(大体)常常双侧发生,切面呈囊实性或实性,常伴坏死,输卵管通常嵌在卵巢肿瘤内 (大体上常难以识别),通常有广泛的卵巢外受累(盆腔腹膜、肠管等脏器)
(结构)肿瘤常出现多种生长模式,常见复杂乳头状和实性细胞巢 (巢团常伴狭缝状间隙)[特征],可见:复杂的腺样、筛状、迷路状、裂隙状,肿瘤呈破坏式、浸润性生长[特征],可见砂粒体,常见坏死
(细胞)细胞立方形或多角形,核体积大,重度异型 (核大小变化>3倍),常见多核细胞[特征],核分裂像常见 (通常>12/10HPF)[特征],少见微囊状伴黏液分泌、透明或印戒细胞样、梭形细胞样
WT1、PAX8、CK7阳性 (WT1有助于鉴别卵巢和子宫内膜浆液性癌) ,ER、PR不同程度阳性,P53常显示突变型 (低级别浆液性癌常显示野生型),P16常显示强阳性 (低级别浆液性癌常显示斑片状) ,CK20、CDX2、HNF1β 阴性
附1.卵巢上皮性癌发生的可能示意图

部分图片来源见水印