小伙伴们,大家吼
今日叨叨——肠上皮。
1. 温故而知新
小肠分为十二指肠、空肠和回肠,由黏膜层、黏膜下层、肌层和外膜构成,黏膜层是消化和吸收营养物质的关键部位。

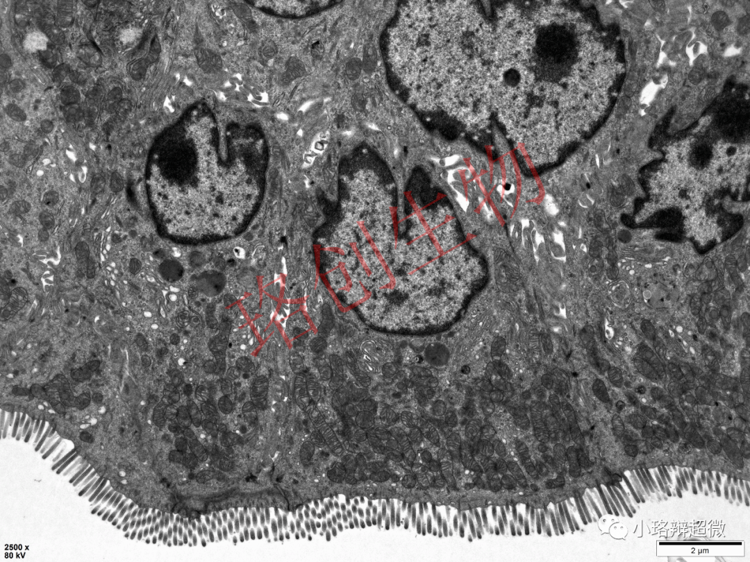
吸收细胞:数量最多,属于单层柱状上皮,相邻细胞间有完善的紧密连接,可阻止肠腔物质由细胞间隙进入组织,保证选择性吸收进行;微绒毛表面有糖萼,其中含有双糖酶、肽酶、胰蛋白酶、胰淀粉酶等,是碳水化合物和蛋白质等消化的重要部位。
杯状细胞:呈倒锥形,散在分布吸收细胞间,分泌粘液,有润滑和保护功能。


2. 眼见为实
(1)吸收细胞:有大量排列整齐的微绒毛,胞质内有丰富的内质网和发达的高尔基体,线粒体呈杆状,有较多溶酶体,细胞间存在紧密连接。(吸收细胞糖萼展示请见第十九期:透射电镜下的糖萼)



(2)杯状细胞:核上区充满黏原蛋白颗粒,有发达的高尔基体和丰富的内质网。



图片源于客户日常送检的肠标本,已获得客户知情同意,盗版必究
(广告时间
)

| 武汉珞创生物科技有限公司是一家专注于电镜检测及相关服务的高新技术企业,致力于尖端电镜检测技术的研发、改良、完善及推广,现已拥有一支完整的高素质研发团队,其中包括武汉大学病理学与病理生理学专业博士2名,硕士1名,其余成员均具有本科及以上学历,年均样本处理量可达1.8万例,拥有极为丰富的电镜检测服务经验。我们的口号是“还原细胞真实态,做超微,我们是认真的”。 |