小伙伴们,大家吼
。严冬来临,各类细菌等病原又开始蠢蠢欲动,当有细菌、病毒入侵时,“细胞将士们”将摩拳擦掌,大战“入侵者”,并将其吞噬、消化,维持机体内稳态。今天,我们就将话筒递给我们的“细胞将士”,一起来了解它们消灭“敌人”的“英勇事迹”。今日展示——细胞吞菌。
1. 温故而知新
异噬指异噬作用溶酶体对外源性异物的消化过程,主要通过泛素蛋白依赖和非依赖的方式清除入侵胞内病原微生物。

异噬过程可大致分为以下几步:(1)入侵细胞的病原体被泛素标记后启动胞内清除机制;(2)泛素结合蛋白(SQSTM1/P62,NBR1, NDP52)捕获病原体;(3)输送到组装完成的异噬体中;(4)异噬体与溶酶体融合形成异噬溶酶体将病原体降解。异噬也可通过激活胞内模式识别受体(PRRs),例如Toll样受体、核苷酸结合寡聚化结构域样受体(NLRs),启动先天免疫从而达到清除病原体目的。

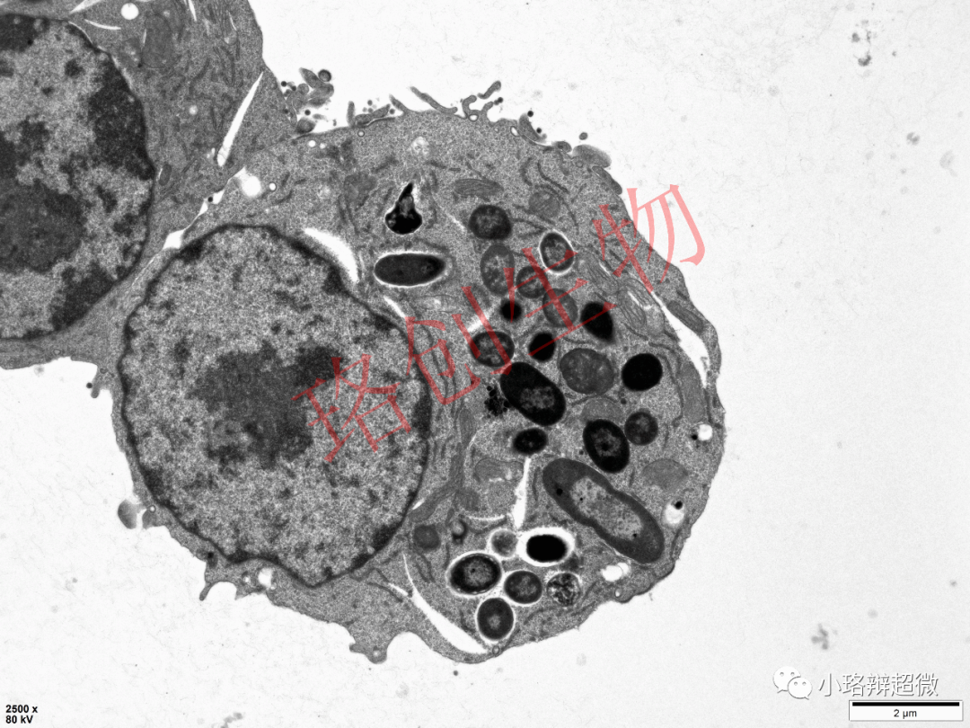
2. 眼见为实
透射电镜下可见细胞内存在大量菌体。



图片源于客户日常送检的细胞标本,已获得客户知情同意,盗版必究