2024
当前位置: 首页 >> 在线课堂 >> 2024 >> 正文
病理小知识----荧光原位杂交简介
发布时间:2024-07-08 发布者: 浏览次数:

病理小知识----荧光原位杂交简介

小迪 检验思路 2024-01-02 11:11


荧光原位杂交(FISH)是上世纪80年代末在放射性原位杂交技术基础上发展起来的一种非放射性分子生物学细胞遗传学结合的新技术,是以荧光标记取代同位素标记而形成的一种新的原位杂交方法。可用于检测基因扩增、基因缺失、基因断裂、基因融合、染色体数目异常。临床上具有指导治疗、辅助诊断、鉴别诊断和判断预后的作用。

图片


图片

原理

图片

荧光原位杂交技术原理是以半抗原如生物素、地高辛间接标记或以荧光素直接标记的已知核酸分子为探针,探针靶序列双链DNA变性后杂交,互补的异源单链DNA分子在适宜的温度和离子强度下退火形成稳定的异源双链DNA,通过荧光标记的亲和素或抗地高辛抗体将半抗原显示出来,通过荧光显微镜观察杂交信号。

图片


图片

特点

图片

与其他原位杂交技术相比,荧光原位杂交具有很多特点,主要体现在:

1.FISH不需要放射性同位素标记,更经济安全。

2.FISH的实验周期短(1-2天),探针稳定性高,特异性好,定位准确,能迅速得到结果。

3.FISH通过多次免疫化学反应,使杂交信号增强,灵敏度提高,其灵敏度与放射性探针相当。

4.多色FISH通过在同一个核中显示不同的颜色可同时检测多个靶标。

5.既可以在玻片上显示中期染色体数量或结构的变化。也可以在悬液中显示间期染色体DNA的结构。


图片

标本类型

图片

主要为组织标本和细胞悬液标本两大类

1. 组织标本包括石蜡切片[组织切片和穿刺样本]

2. 细胞悬液标本包括骨髓、膀胱冲洗液/尿液、宫颈脱落细胞、外周血(培养)细胞、羊水/绒毛。


图片

图a:组织切片。图b:穿刺样本。图c:骨髓样本。

图d:尿液样本。   图e:宫颈脱落细胞样本。图f:外周血样本。


图片

探针类型

图片
图片


图片

实验流程

图片

FISH样本的制备→探针标记→杂交→洗涤→复染→荧光显微镜观察→结果分析。细胞悬液与组织切片简要实验流程如下:

图片


图片

临床应用

图片

01


FISH在乳腺癌、胃癌的应用

①HER-2基因扩增的患者预后差, 20~30%的乳腺癌患者具有HER-2基因的高表达(扩增),胃癌中HER-2阳性率约为20%。

指导内分泌治疗:HER-2基因扩增的乳腺癌患者对内分泌治疗药物易产生耐药

③合理选择辅助化疗药物:HER-2基因扩增的乳腺癌患者对CMF(环磷酰胺、甲氨喋呤和5-氟脲嘧啶)化疗方案的反应性降低,宜采用紫杉醇化疗和高强度的蒽环类药物。

④HER-2基因扩增的乳腺癌和胃癌患者明显受益于Herceptin(赫赛汀,2001年FDA批准上市)等靶向药物治疗。

图片

图1:HER2(红色)在乳腺癌中的扩增表达(阳性)              

图2:HER2(红色)在乳腺癌中的正常表达(阴性)


02


FISH 在非小细胞肺癌(NSCLC)的应用

①靶向药物:克唑替尼(Crizotinib,XALKORI)2011年在美国获得批准上市,适应症为用于治疗间变淋巴瘤激酶(ALK)阳性的局部晚期或转移的非小细胞肺癌。FISH检测通常用ALK断裂探针(图3)检测。

②MET扩增(图4)与非小细胞肺癌的不良预后相关,MET扩增与EGFR TKI耐药相关,MET信号通路靶向用药。

③ROS1 断裂探针(图5)检测指导靶向药物使用。

图片

图3:ALK断裂探针在NSCLC中的表达

图4:MET扩增探针在NSCLC中的表达

图5:ROS1断裂探针在NSCLC中的表达


03


FISH在膀胱癌的应用

FISH检测比基于形态学的细胞学检查更早发现肿瘤,检出率可由细胞学的20%提高至60%~75% ,且特异性与细胞学相当。指导血尿后续排查方案的制定和及早治疗。


①9p21(P16)(图7)的缺失率为28.6%-83.0%。9p21的缺失与复发、进展相关,与膀胱癌的分级、分期无关,但在低级别癌中常见。

②3号染色体多倍体(图6)发生率大约为27%-76%。定位于3p25 的RAF1 基因过表达与膀胱癌的病理分级相关。

③7号染色体多倍体发生率大约为13.0%-76.2%,7号染色体多倍体与膀胱癌的分级、分期正相关。

④17号染色体多倍体发生率大约为12%-47%,其多倍体与分期、分级显著相关。

图片
图6:3,7,17号染色体着丝粒探针分别标记绿色、青色、红色荧光素。
图7:P16基因(9p21)探针标记红色荧光素,绿色标记的3号着丝粒探针作为内参。


04


FISH在宫颈癌的应用

TERC基因(端粒酶RNA基因)在宫颈癌中应用:

①辅助区分高度、低度宫颈癌前病变(LSIL/HSIL,CIN1/CIN2),明确病理分级,合理选择治疗方式,避免过度治疗。

②预测HPV感染或细胞病理学异常者疾病的进展风险,提早干预。TERC基因扩增的患者病情由CIN 1以下级别向CIN 2 以上级别发展,甚至直接发展成宫颈癌的可能性为70%。

③评估物理治疗或锥切治疗后效果。

④监测宫颈病变术后患者,早于形态学发现。

图片
图8:TERC(红色)在宫颈脱落细胞样本中扩增(阳性)。
图9:TERC(红色)在宫颈脱落细胞样本中不扩增(阴性)。


05


FISH在软组织肉瘤的应用

图片


06


FISH在血液肿瘤的应用

可以应用于急性粒细胞白血病(AML)、慢性粒细胞性白血病(CML)、急性淋巴细胞白血病(ALL)、慢性淋巴细胞白血病(CLL)、骨髓增生异常综合症(MDS)、多发性骨髓瘤(MM)等早期诊断、治疗方案选择,以及预后判断、微小残留病灶检测。


例如,BCR/ABL融合基因(图10)在慢性粒细胞性白血病的应用:

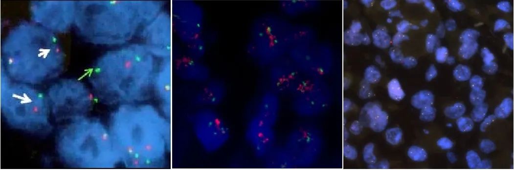
①t(9;22)(q34;q11)易位形成的BCR/ABL融合基因是CML的标志。

②CML患者进行BCR/ABL融合基因检测,一旦确定BCR/ABL融合基因的存在,就可以考虑使用格列卫(电影《我不是药神》中被称为格列宁)进行治疗。

③鉴别CML急变和ALL,分子生物学水平BCR/ABL融合基因检测显示,ALL的BCR/ABL融合基因由次要断裂点断裂形成,CML急变患者的BCR/ABL融合基因由主要断裂点断裂形成。

图片
图10:BCR(绿色)/ABL(红色)在骨髓样本中表达(阳性)。当BCR/ABL融合时,红绿紧挨在一起,形成黄色点。阈值≥5%。


07


FISH在淋巴瘤(NHL)的应用

图片


海南省生物材料与医疗器械工程研究中心/海南省创伤与灾难救援研究重点实验室版权所有 ©2024

地       址:海南省海口市龙华区学院路3号力行楼C栋1层

联系电话:0898-66892503 

微博

微信扫一扫

扫一扫手机访问