肝是人体消化系统的一个大型器官,位于腹腔右上,毗邻胰腺、胃和膈肌等。肝实质的组织是围绕血管构筑的,在处理来自肠道的营养血液和化学解毒方面发挥关键作用。
肝组织HE染色切片为紫红色,实质性,无皮质、髓质的层次结构。由于肝叶很大,切片上一般不易看出分叶结构。
低倍镜观察:
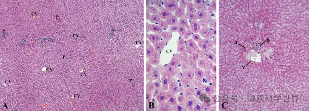
核大而圆的肝细胞紧密排列,局部可见肝细胞索呈放射状围绕中央静脉。中央静脉管壁很薄,断面上常不完整,直接与肝细胞索之间的血窦相通。以中央静脉为中心向外扩大观察范围,可见距离每个中央静脉周围一定距离的不同方向上,都有一簇被疏松结缔组织填埋的管道。其中,至少能观察到内有单层扁平上皮的两根血管——小叶间动脉和小叶间静脉,以及有立方或柱状上皮的小叶间胆管。此处称为“门管区”,与中央静脉处仅有静脉的结构区别明显。在人类,小叶间动脉较之小叶间静脉,内腔常更小,管壁更厚,平滑肌层更发达。来自某些动物(如兔)肝的切片,小叶间动、静脉区别可能不明显。

肝组织的组织结构示意图
由于制片收缩或实验动物种类的因素,肝细胞索和以中央静脉为中心的肝小叶结构可能十分醒目。肝细胞索之间为肝血窦,该区可见胞核略小且不规则的其它细胞类型。
有时在肝小叶之间可见结缔组织内只有一条小叶下静脉,内径大于中央静脉,管壁结构完整。小叶下静脉为中央静脉汇合形成。
不同区域的肝细胞,在镜下的染色性质和形态并不均一。

肝HE染色 (A)肝实质低倍;(B)中央静脉高倍;(C)门管区中倍。CV 中央静脉;P 门管区;a 小叶间动脉;v 小叶间静脉;b 小叶间胆管。

肝HE染色高倍示小叶内的细胞类型
高倍镜观察:
高倍镜下,肝实质组织的基本结构为肝细胞索和其间的肝血窦。
(1)肝细胞
肝细胞彼此连结形成条索,可弯曲排列,有时可见分支。细胞大而饱满,呈多边形或近圆形。核圆而居中,常染色质丰富,可见核仁,偶有双核。胞质通常显示嗜酸性,有的肝细胞呈一定嗜碱性;胞质局部可有尺寸和数量不等的脂滴空泡。两个肝细胞之间的连结部,有时仔细观察可见很小的不着色“亮点”,该处为截面较大的胆小管。
(2)肝血窦
位于肝细胞索之间,宽窄不一,形态不规则,在充血标本上较宽大。血窦内常见红细胞填充。血窦边缘可见内皮细胞的梭形或扁椭圆形细胞核,染色较深。血窦内还常见肝巨噬细胞(库否细胞),体积较肝细胞小,核卵圆或不规则形,胞体形态不规则,胞质常呈强嗜酸性。
肝组织常见生理性改变:
在正常人体和实验动物中,肝组织的结构会有较大的个体差异。主要体现在脂滴的多少和糖原的含量上。这两种改变常常并非疾病引起。营养过剩或暂时性化学刺激,脂滴就容易在肝细胞内聚集;而营养过剩、饥饿等,也能改变糖原的含量。这两种结构,在常规光镜石蜡制样过程中都会流失。脂滴空泡比较容易辨认,切面大多为规则圆形,尺度不等。而糖原的流失,一般是通过空白不着色区的形态来判断。
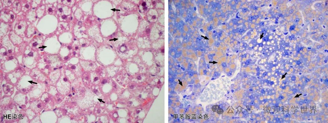
在人类,肝细胞的脂滴过多或者糖原过少,一般提示亚健康状态。但在一些实验动物就不见得了。以大鼠为例,由于大鼠没有胆囊,肝脏在脂类消化吸收过程中承压更大,因此适当的脂肪肝并不提示任何病变(完全没有脂滴反而有问题)。只有脂肪变较重的情况下,与对照样本才容易看出显著区别。

大鼠肝重度脂肪变光镜观察(高倍)