科研和诊断阅片的重要任务是判别组织结构是否发生改变,或者是否符合某种疾病的特点。虽然科研阅片要求每次都应制备充分的对照样品,通过与对照组比较,才能得出准确的判别结论。但是,充分对照的条件并非每次都能满足。临床病理样品通常无法多次重复取样,不得不寄希望于周边正常组织的自身对照。如果自身组织在病变影响下已经出现异常,这样的对照就不算充分。此外,难以获得的稀有样品,或者性质尚不明确的造模实验,也难以获得理想的对照。这时候,有经验的阅片人员,就需要调动自己脑中的记忆,把从观察大量正常结构中总结出来的结构特点作为一种内部的“对照”。这种方法在没有对照片的情况下观察病理切片时是行之有效的,但要求阅片者十分熟悉正常的组织结构。
在熟悉正常结构的前提下,观察异常和病变较为明显的组织,不难得出正确的判别结论。如果阅片时看到以下一些表现,特别是改变程度较大者,一般提示组织存在明确的异常,可直接做出相关判断。有时异常现象会成对甚至成群出现,判别时不要遗漏细节。
(1)细胞数量、密度较同类组织明显增加或减少,或者某一群细胞的尺寸明显变大或变小。这种情况下,基本可以判断出现了细胞增生、肥大或组织萎缩。
(2)细胞形态出现明显异常,比如核质比显著改变、胞核异型性增大、细胞极性紊乱或细胞形状明显变化等。这些变化通常由于细胞的转录和代谢状态发生了大幅改变,常见于恶性肿瘤和损伤后修复的组织。
(3)在相同的染色条件下,某些细胞的染色性质发生明显的转变。比如原来嗜酸性的细胞,嗜碱性变强或不能着色,通常和胞质内的细胞器改变有关。不过,首先应排除从组织取材固定到最终成片染色的一系列操作中的技术原因,才能确证。
(4)组织局部有空洞、缺失或破损。这一现象往往提示该处存在组织坏死或性状改变。某些液化性坏死的组织,在取材和制样过程中极易流失,造成空洞的假象。钙化灶则可能因脆化而在切片环节丢失。还有一些局部坏死的组织(比如肌组织),则会影响包埋剂的渗透,致使切片困难,难以避免局部破损。所以,分析探究组织丢失和破损的原因,对做出正确判断很重要。
(5)细胞内或细胞外基质出现异常的物质聚集分布。较常见的聚集物有脂褐素、脂滴、淀粉样小体、纤维结构等。老年性细胞改变中,这类物质聚集现象较为普遍,有的算不上病变。而肾小球系膜增厚、胆囊上皮下胆固醇包含物堆积、脑组织局部血管栓塞形成等,则属于典型的病理改变,一般会伴有相应的疾病症状。
(6)细胞排列方式和细胞类型发生明显变化。上皮组织化生(比如柱状上皮变成了扁平上皮)、转移性肿瘤组织等,就属于这种类型的改变。细胞恶变、炎症刺激下组织发生改建和修复等,是这类病变的常见原因。脑组织缺血坏死或机械损伤后较长时间,原来的神经组织会被以胶质细胞为主的组织取代,形成胶质瘢痕,也属于这种情况。
(7)在不易见到凋亡的组织中出现多个凋亡细胞。年轻成人的肌组织和脑组织一般很难见到凋亡细胞。在发育、损伤修复和中毒反应中,凋亡细胞相对容易观察到。所以,异常的凋亡通常提示病变。
(8)细胞分裂相异常增多或减少,通常增多更容易判别。分裂相增多,说明有活跃的细胞增殖,常见于组织发育或修复的阶段;病理性核分裂则与病变有关。
(9)血管支配异常。常见的表现有微血管增多、血管腔膨胀充血、红细胞漏出到血管外等。肿瘤、炎症或损伤状态的组织中常见上述变化。
(10)组织内有聚集成团或弥漫性的免疫细胞浸润。此时应识别免疫细胞的种类,并结合相关临床表现,判断病变的性质。在急性和慢性炎症期间,以及损伤后的不同阶段,浸润的免疫细胞往往各有特点。
(11)血液中某类细胞的比例发生明显改变。这在血涂片、含血组织切片等样品中应予关注。不过,在缺乏充分对照的情况下,细胞比例的增减幅度不大时,可能不具有医学诊断的意义。
(12)切片上观察到超过正常量或与常规定植类型不同的病原微生物或寄生虫。

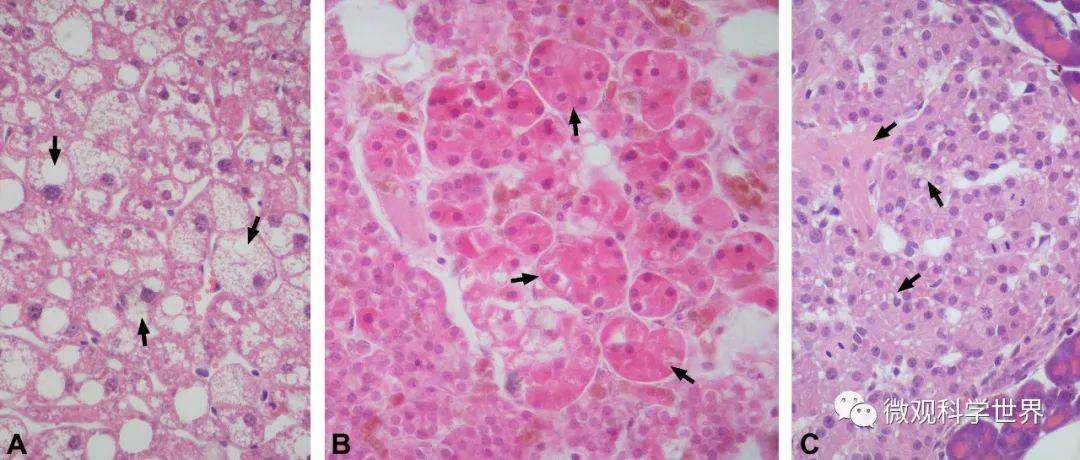
无需对照即可判明病变的切片(HE,高倍) (A)严重脂肪肝,箭头所示为胞质内脂滴;(B)甲状旁腺嗜酸性细胞增生(箭头所示,正常情况下仅有个别散在分布);(C)小鼠胰岛病变,箭头示胞内脂滴和间质淀粉样物质蓄积,图中还有5处明确的分裂相(对胰岛来说分裂相占比过高,找找呗)。
尽管在经验丰富的情况下,脱离实际对照样品进行病变判别是可行的,但还是不能忘记,在以诊断为目的的阅片工作中,不要完全脱离临床表现和临床预判。首先根据临床表现对病变类别和性质做出限定,然后通过显微阅片进行确证,才是科学和高效的方法。
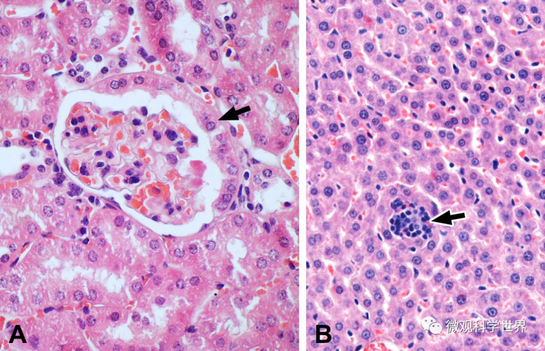
在动物实验中,还用当注意,有的病变属于该物种常见的自发病变,出现几率较高(如小鼠肝脏髓外造血、啮齿动物肾鲍曼囊上皮立方化等)。这类情况下,没有充分对照时,切不可判定为实验因素造成的改变。

小鼠组织常见的自发改变(HE,高倍) (A)肾鲍曼囊上皮立方化(箭头所示)(B)肝组织内髓外造血灶(箭头所示)。