
·鳞状(桑葚)化生

最常见于增生的子宫内膜,有时伴有子宫平滑肌瘤或息肉。常出现非角化的鳞状细胞一一或弥漫性分布(腺皮病 ) 或呈浆果样聚集(桑体或桑甚状化生 )
大多数见于绝经前女性、接受外源性激素治疗或伴有多囊卵巢综合征( PCOS )的患者
·纤毛细胞(输卵管)化生

正常子宫内膜黏膜层可见散在的纤毛细胞,当纤毛细胞大量增加时,其表现与输卵管上皮相似,常见于萎缩性子宫内膜
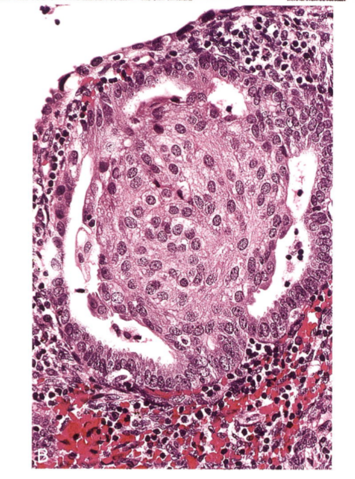
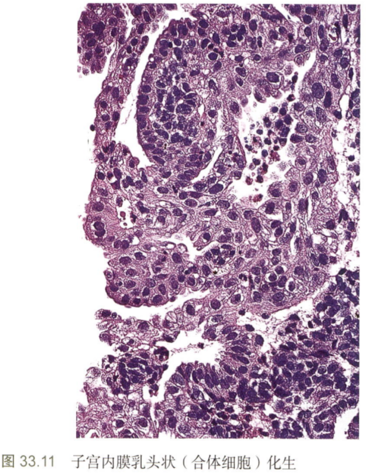
·乳头状合体细胞化生

嗜酸性细胞沿表面上皮聚集成合体细胞和乳头状结构,常见于子宫内膜崩解
·黏液化生

少见,最常见于癌前病变和恶性病变,也可以见于子宫内膜息肉。正常内膜上皮细胞可含少许粘液,出现大量胞质内粘液时方能诊断黏液性化生。
子宫内膜黏膜层在形态学、组织化学和超微结构上都变得与宫颈内膜黏膜层相似鉴别诊断是正常子宫颈、子宫内膜的非典型黏液增生/子宫内膜腺癌的黏液变性
黏液化生应是局灶性的、温和的,没有腺体结构特征
·嗜酸细胞(嗜酸性、嗜酸瘤细胞性)化生
细胞含有丰富的嗜酸性胞质。嗜酸细胞化生需要与子宫非典型性增生和非常罕见的嗜酸细胞癌鉴别,嗜酸细胞化生缺乏腺体拥挤和细胞核非典型性的特征
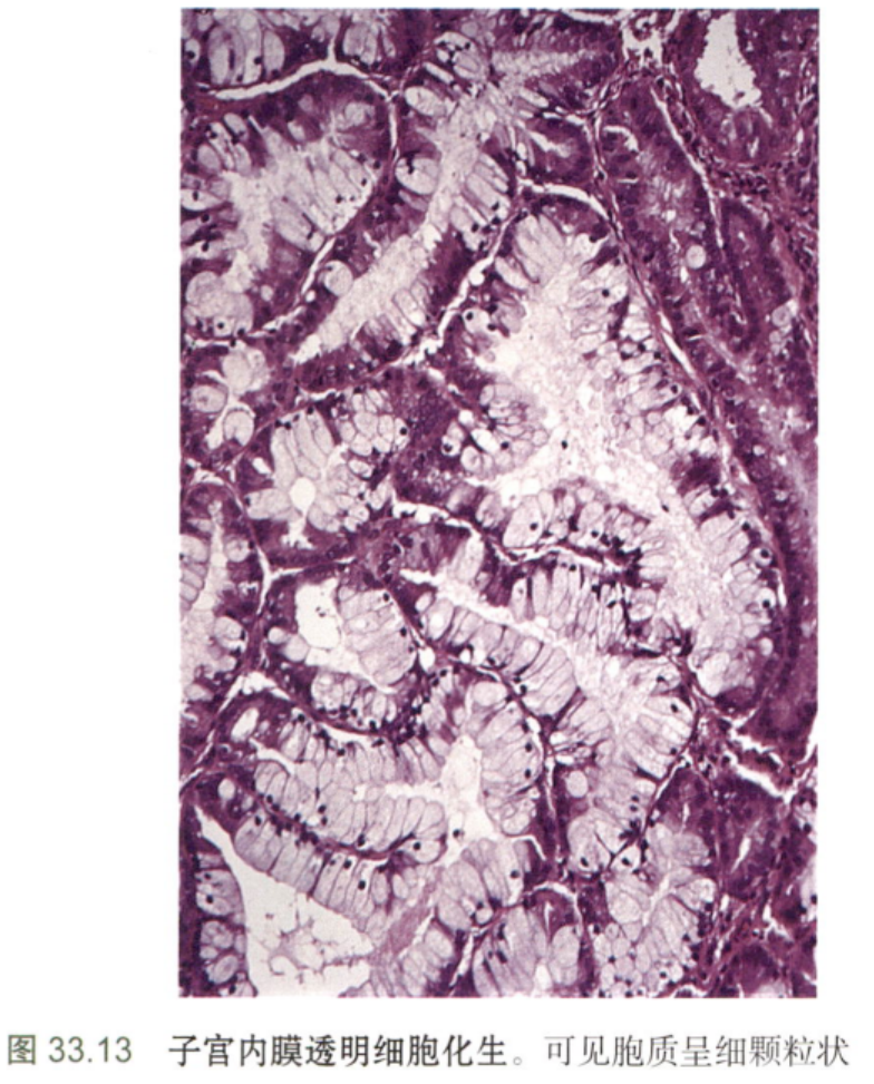
·鞋钉状和透明细胞化生

上皮细胞呈高柱状,胞质透明,细胞核位于顶端。需要与透明细胞(中肾管)腺癌进行鉴别
·间质化生
子宫内膜间质中形成岛状平滑肌、软骨和骨
平滑肌化生、软骨和骨化生、神经胶质化生、脂肪化生、髓外造血
附:

参考文献:
1.回允中(主译).《斯滕伯格诊断外科病理学》,2017年第6版,北京大学医学出版社
2.回允中(主译).《罗塞和阿克曼外科病理学》,2021年第 11 版,北京大学医学出版社