
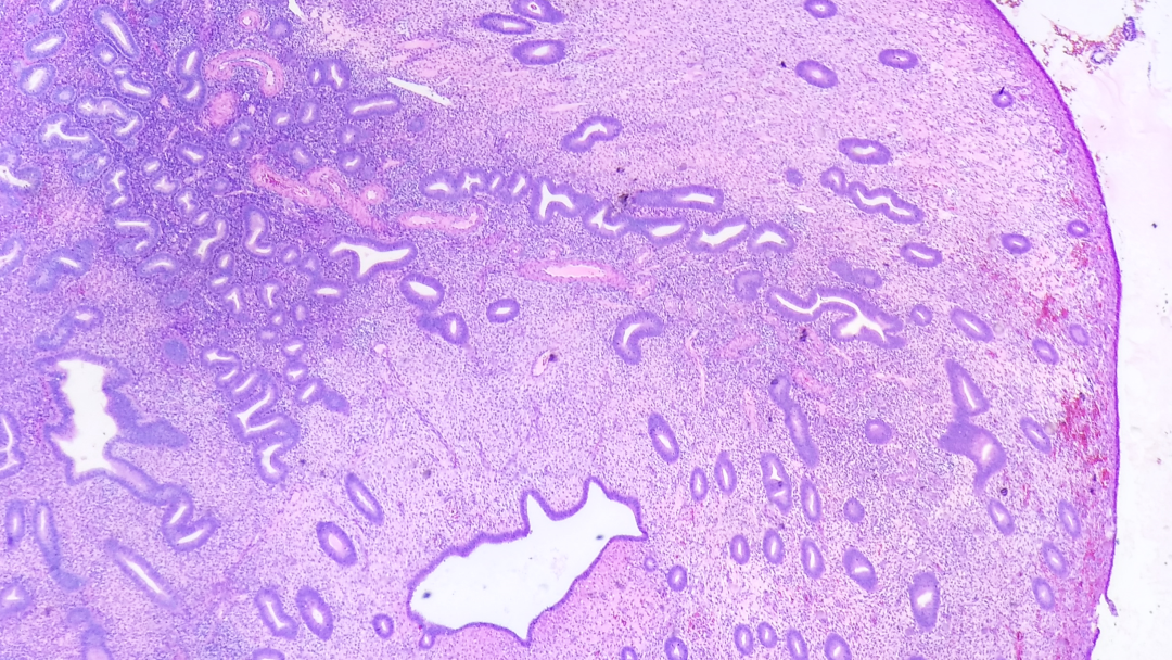
·子宫内膜息肉


纤维轴心含有大的厚壁血管的息肉样结构,胶原纤维为主的间质,可见囊性扩张及有时密集排列的腺体,内衬静止的萎缩性至微弱增生性子宫内膜上皮,低倍镜下呈息肉样,3个侧面衬覆上皮
表面上皮:通常变薄,呈萎缩或增生形态,偶尔呈乳头状增生,或脱落、出血 内部腺体:腺体形态不规则 (管状、分支或囊状扩张,与背景内膜腺体不同步),腺体长轴常与息肉表面平行,腺体功能通常不活跃 (少数为功能性),可伴化生性改变(纤毛化生、嗜酸性化生、粘液化生和鳞状化生) 内部间质:间质细胞多少不等,或呈纤维胶原样,常见多少不等厚壁血管,呈簇状聚集,有时可见退变的奇异核细胞、含铁血黄素沉积 伴随形态:1.息肉扭转: 常导致出血性脑梗死、上皮化生和反应性异型性;2.少见情况:间质平滑肌成分突出时,类似腺肌瘤 (腺肌瘤性息肉)
服用激素的患者,息肉可能出现乳头状增生;他莫昔芬治疗的患者,腺体常呈鹿角状,腺体周围有间质袖套(无异型及核分裂)
·Arias-Stella 反应
良性子宫内膜改变,细胞具有显著非典型性,与妊娠、妊娠滋养细胞疾病或高剂量孕激素有关
结构:通常位于子宫内膜功能层/海绵层,腺体极度扭曲和塌陷 (但缺乏浸润性生长),内衬上皮形成明显的乳头状皱褶 细胞:腺上皮细胞呈立方、柱状或靴钉样,胞质可显著空泡化和透明,或强嗜酸性 (需鉴别透明细胞癌)核明显增大,具有多形性、深染(典型核呈污秽样外观),有时可见核内假包涵体,核分裂像罕见
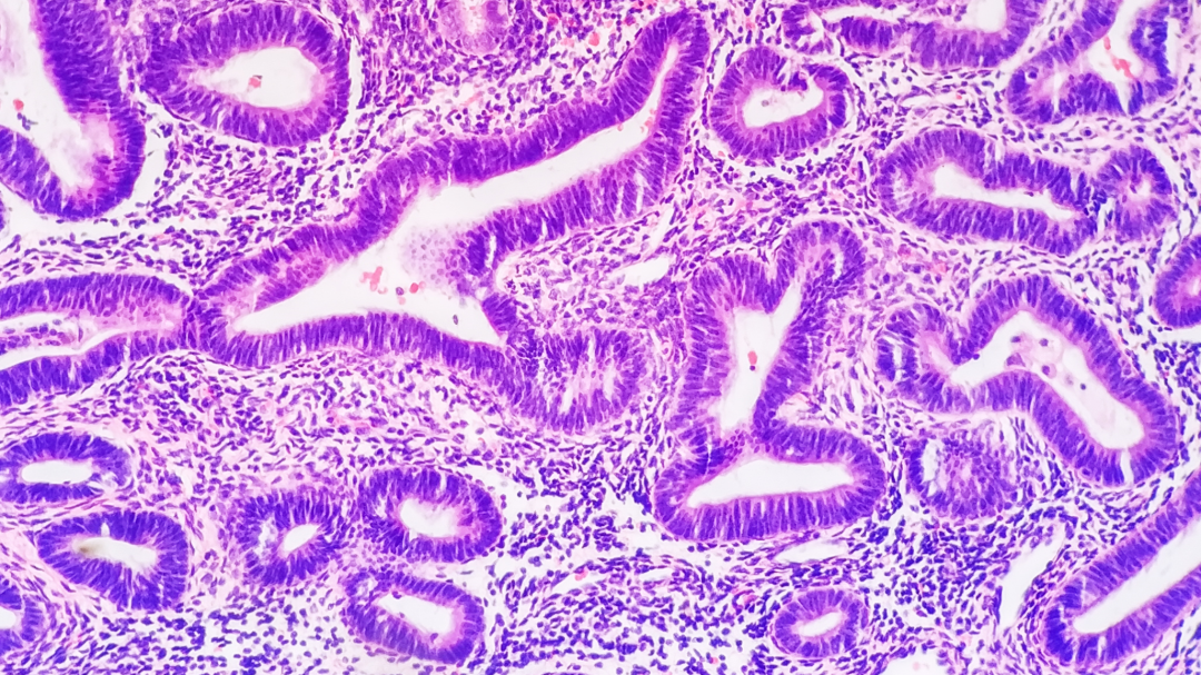
·子宫内膜增生不伴非典型增生


子宫内膜的腺体数量增加,伴大小和形状不规则,无明显细胞非典型,类似增生晚期或高度增厚,有时伴息肉形成
结构:简单型增生:腺体密度增加,腺体/间质比例>1:1(高于增生期子宫内膜)部分腺体出现简单分支或囊状扩张,与管状腺体混合 (管状+分支+扩张) ,缺乏:腺体背靠背、融合、筛状结构;病变弥漫分布,与周围或邻近子宫内膜无明确分界[特征]
细胞: 不伴非典型:腺上皮呈假复层样外观(类似正常增殖期子宫内膜);细胞核卵圆形、位于基底部,核膜光滑;细胞形态均一,与周围或邻近子宫内膜差异不明显[特征],可伴化生改变,核分裂象小于5个/HPF,间质细胞比增生期内膜更密集,细胞仍为梭形,但稍变胖;间质内可见簇状泡沫细胞,无特殊意义
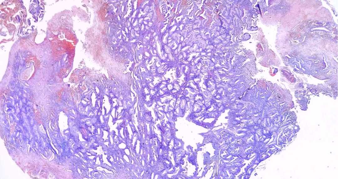
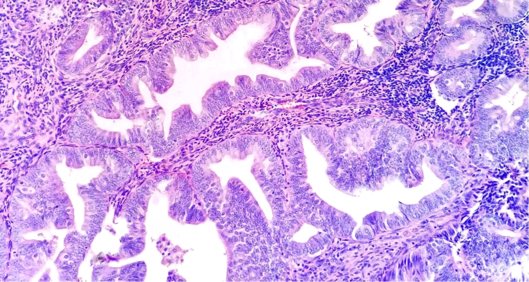
·子宫内膜非典型增生



又名子宫内膜样上皮内瘤变,表现为子宫内膜的腺体数量增加,排列拥挤,同时伴细胞非典型。部分病例表现为局部内膜增厚 (可呈息肉样),或弥漫增厚,部分病例大体表现不明显
结构: 复杂型增生:腺体排列变得拥挤,腺体/间质比例>3:1,腺体轮廓不规则,分支更加复杂,可向腺腔内形成乳头状折叠,腺体呈“背靠背”样排列拥挤(仅有少量间质分隔),结构上明显不同于邻近子宫内膜 (“地图状分布,与周围界清”)[特征],需排除基底部腺体、息肉、子宫内膜周期不同步等,缺乏:腺体融合,呈筛状或迷路状 (癌变特征)
细胞: 伴有非典型:腺上皮细胞复层化,极性消失,腺上皮细胞核趋向于变圆形,核浆比增加,腺上皮细胞核型不规则 (核膜增厚,染色质空泡状,核仁明显),细胞形态明显不同于周围或邻近子宫内膜 (与邻近内膜差别明显)[特征],可伴随细胞化生性改变(注意排除),单个腺体可以一部分细胞具有非典型性,而其他细胞没有:如非典型细胞数量极少,应当忽略不计
该病变主要强调细胞的非典型性,无论结构简单或复杂,不影响治疗。多表现为“复杂结构+细胞非典”“结构简单+细胞非典”罕见