
·定义
由子宫平滑肌细胞衍生的良性平滑肌肿瘤,形态多样
·临床表现
最常见,经典型约占90%,各种亚型约占10%,好发于中年女性 (约40-50岁),在接受孕激素治疗的患者中发生率更高,1/3患者可出现月经过多、盆腔疼痛 (大多数患者无症状)
·诊断要点
大体

肿瘤可位于宫体肌壁间、黏膜下或浆膜下 (<2%位于宫颈)·
常多发(约75%),直径1-20cm,界限清楚,切面灰白、质韧、编织状 (经典型),切面偏软 (水肿、富细胞、上皮样),偶见出血、囊性变
镜下

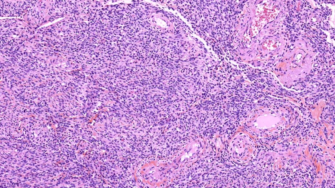
普通型平滑肌瘤

上皮样平滑肌瘤

富于细胞型平滑肌瘤

黏液样平滑肌瘤

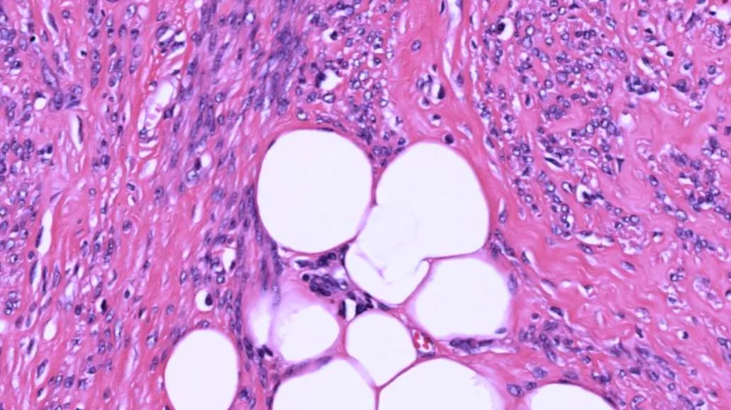
脂肪平滑肌瘤

伴有奇异细胞核平滑肌瘤
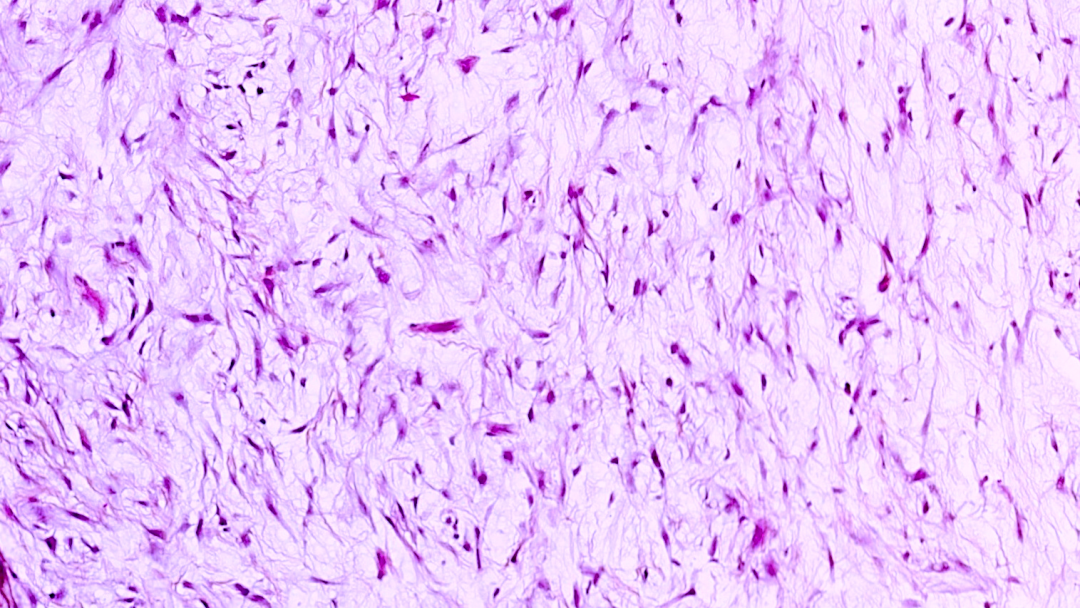
界清,由梭形细胞排列呈编织状 (偶尔可呈栅栏状),低细胞密度 (核间距较宽) ,可见厚壁血管,间质常常伴透明变性、梗死 (肿瘤较大)、钙化 (时间较长)
与正常平滑肌细胞相似,细胞长梭形,胞浆中等,胞浆粉红色纤维状(红细胞是亮红色),细胞核呈杆状,略弯曲,两端圆钝(核呈雪茄状) 肿瘤坏死、核异型性缺乏,核分裂像少见(通常<5个/10HPF)(<2个/mm2)
免疫组化及特殊染色
肌源性标记(SMA、Desmin和h-Caldesmon)阳性,ER、PR、WT1阳性
分子病理
·组织学亚型
富于细胞性平滑肌瘤、上皮样平滑肌瘤、黏液样平滑肌瘤,等等
子宫平滑肌瘤变性:1.透明变性,2.水肿变性,3.红色变性(与平滑肌肉瘤的凝固性坏死鉴别),4.黏液样变性,5.钙化
·鉴别诊断
与其他梭形细胞肿瘤鉴别,如子宫内膜间质肿瘤等
·预后
良性病程