总结的头大,知识点很多,很乱,先放在这里熟悉。待后续继续整理。


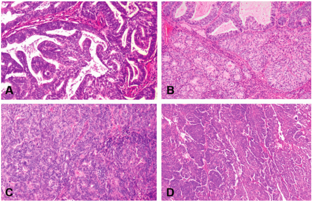
国际妇产科学联合会(FIGO)子宫内膜样腺癌分级。A, FIGO 1级子宫内膜样腺癌,腺状生长模式,缺乏实性结构。B, FIGO 2级子宫内膜样腺癌,6% - 50%的实性非鳞状生长模式。C, FIGO 3级子宫内膜样腺癌伴微腺泡生长模式,应解释为实性生长模式。D, FIGO 3级子宫内膜样腺癌,以实体型生长为主(苏木精-伊红,原始放大×200 [A, B, C]和×20 [D])。
·根据腺体结构和实性区(除外鳞状化生)的比例以及腺上皮细胞核的异型性分三级:
腺癌中实性结构≤5%为G1;
实性结构占6%~50%为G2;
实性结构>50%为G3。
如果50%以上的肿瘤细胞核是高级别,将其分级升高一个级别。

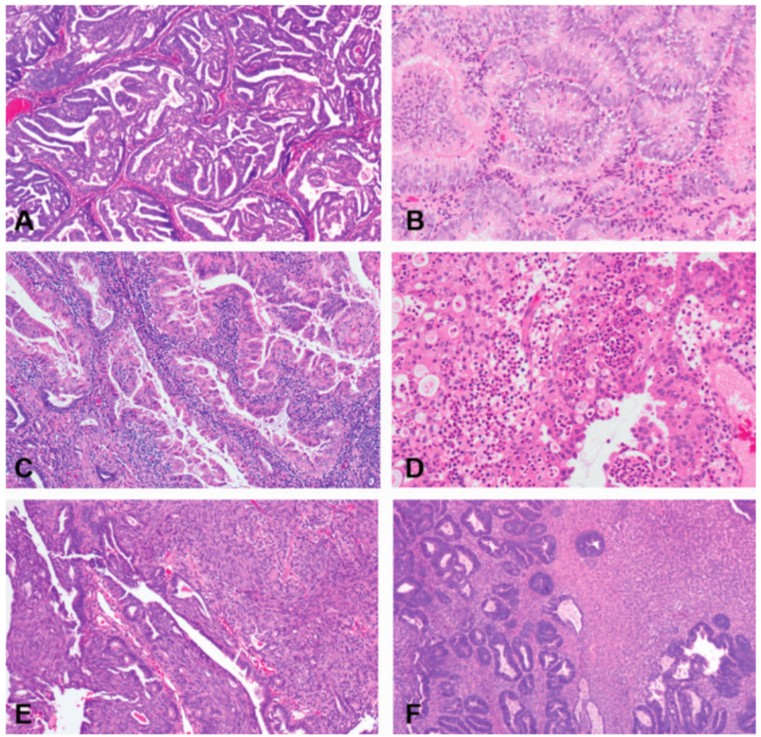
子宫内膜样腺癌及其变体。A、低级别(International Federation of Gynecology and Obstetrics [FIGO] grade 1))子宫内膜样腺癌,由形态良好的腺体组成,管腔轮廓光滑,核假层状,缺乏实体生长区域。B,具有核上和亚核空泡化的分泌性变异。C,变异具有小的无绒毛乳头,由腔内假乳头组成,缺乏纤维血管核心。D,微腺变异,由拥挤的中小型腺体组成,伴有腔内黏液和中性粒细胞。E,梭形细胞区与传统低级别子宫内膜样腺癌区合并。F,绳状和透明化子宫内膜癌,由透明化基质中排列的低级别肿瘤细胞组成(苏木精-伊红,原始放大×100 [A, C,l, E, F]和×200 [B, D])。
子宫内膜样癌:鳞状分化型、绒毛腺管状型和分泌型三个亚型(待总结)
·子宫内膜样癌,低级别(G1,G2):实性生长<50%,腺体卵圆形或圆形,轮廓光滑,细胞柱状至立方状,细胞核假复层、低级别的卵圆形至圆形,鳞状化生和黏液化生可有可无,背景中的子宫内膜上皮内瘤变可有可无;免疫组化:p53(野生型),p16(-),ER/PR(+),HNF-1β(±),Napsin A(-),AMACR(-)、PTEN(±)、ARID1A(±),细胞核β-catenin(±),错配修复蛋白(-,40-60%);INI-1或BRG-1(+),PAX8(+),CK-pan(+);
·子宫内膜样癌,高级别(G3):实性生长区域>50%,或实性生长区域6-50%但有弥漫的显著细胞核非典型;腺体卵圆形或圆形,轮廓光滑,细胞柱状至立方状,为假复层的低级别卵圆形至圆形细胞核;鳞状化生或黏液化生可有可无,背景中的子宫内膜上皮内瘤变可有可无;免疫组化:p53(异常表达,25%),p16(-),ER/PR(+),HNF-1β(±),Napsin A(-),AMACR(-)、PTEN(±)、ARID1A(±),细胞核β-catenin(±),错配修复蛋白(-,40-60%);INI-1或BRG-1(+),PAX8(+),CK-pan(+);
附1:

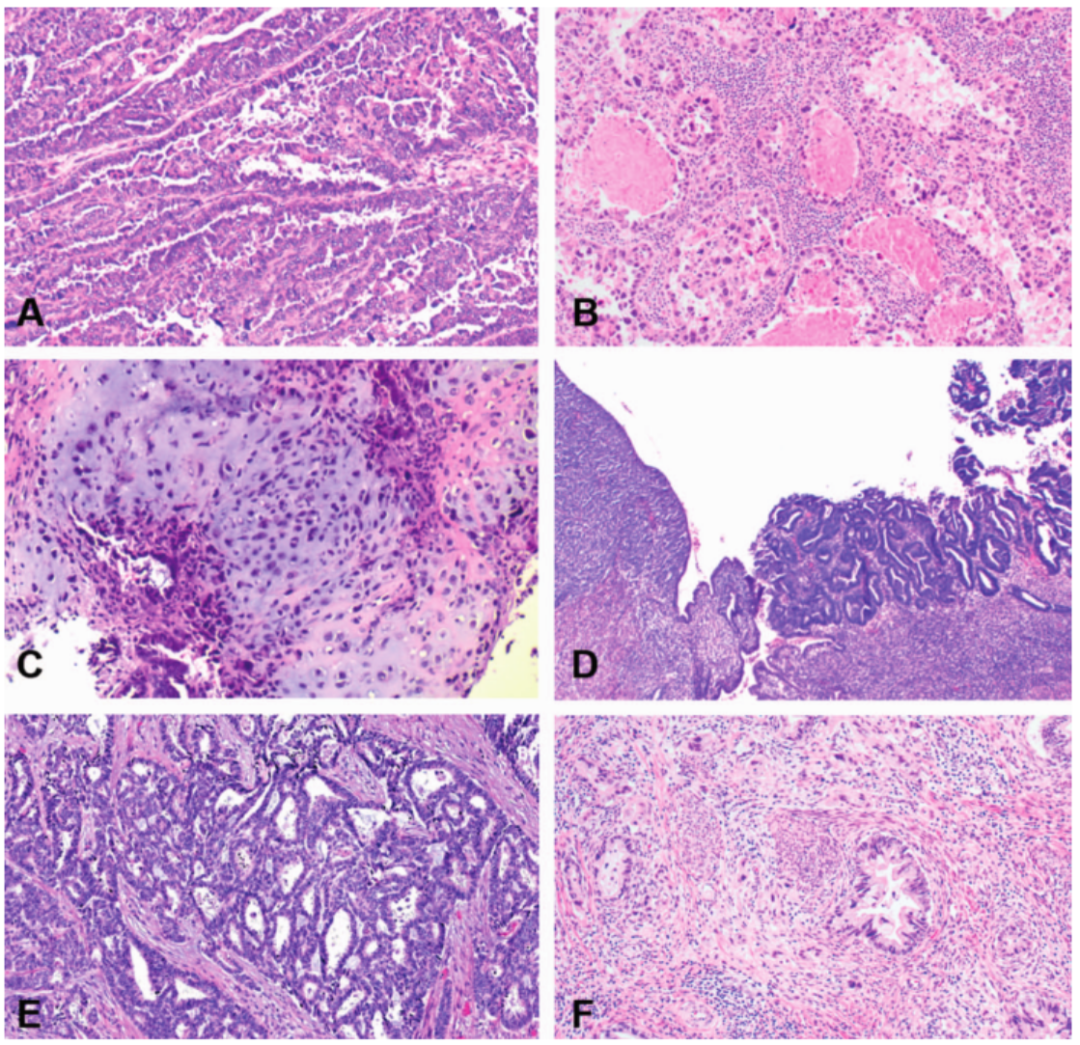
高级别子宫内膜癌。A,浆液性癌由复杂的腺状结构组成,衬有明显不典型的上皮,细胞簇脱落。B,透明细胞癌,管囊型。C,异源分化的癌肉瘤(恶性混合苗勒氏瘤)(软骨肉瘤)。D,从高分化子宫内膜样癌(右)突然转变为未分化癌(左)的去分化癌。E,中肾样腺癌。F,胃型腺癌(苏木精-伊红,原放大×100 [A, B, E, F], ×200 [C], ×40 [D])。
附2.
endometrial carcinoma 子宫内膜癌
endometrioid carcinoma,EEC 子宫内膜样癌
endometrioid adenocarcinoma 子宫内膜样腺癌(与子宫内膜样癌一个意思)
non-endometrioid carcinoma,NEEC 非子宫内膜样癌
附3.

附4.

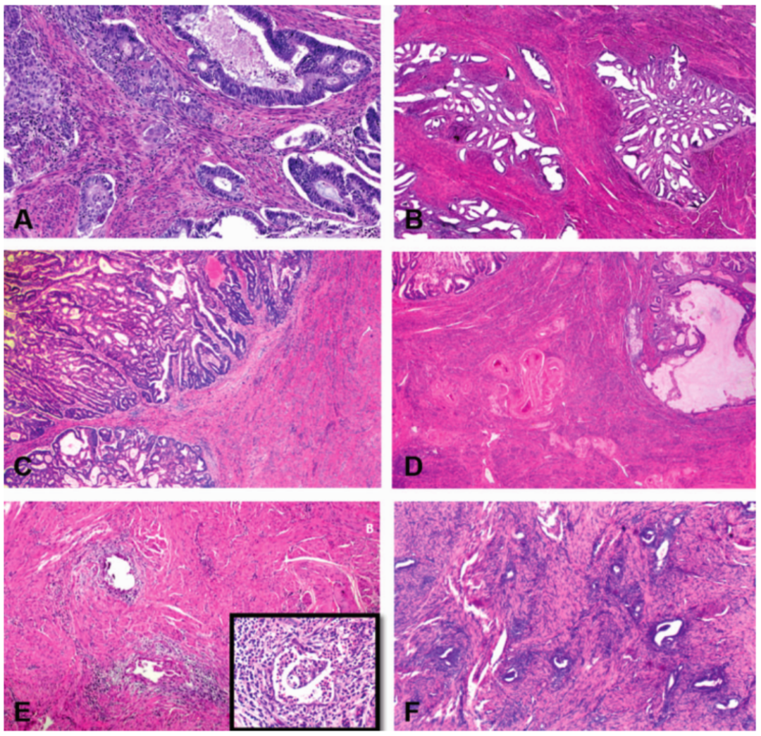
子宫内膜癌的肌侵犯模式。A,单腺型:肌层内随机分布的肿瘤腺体。B、腺肌病样侵袭:肿瘤腺体模仿腺肌病或肿瘤累及腺肌病。子宫内膜间质缺乏,周围没有良性腺体,边界不规则/浸润性,有助于确定“真正的”肌侵犯。C、子宫内膜交界处模糊/不规则:整个子宫内膜界面被癌取代,难以准确测量肌侵犯。D、推进/宽前侵:弓形血管靠近侵袭性肿瘤前方提示深部(>50%)肌侵。E,微囊性拉长和碎片化的侵袭模式:微囊性或狭缝样的间隙由非典型嗜酸性肿瘤细胞排列,周围是炎性间质的结缔组织增生(见插图)。F,腺瘤样侵袭模式:间距广泛,不规则腺体随意浸润肌层,无细胞学异型和间质粘连(苏木精-伊红,原始放大×200 [A和E插图),×100l [B, C, E, F], ×20 [D])。
附5.

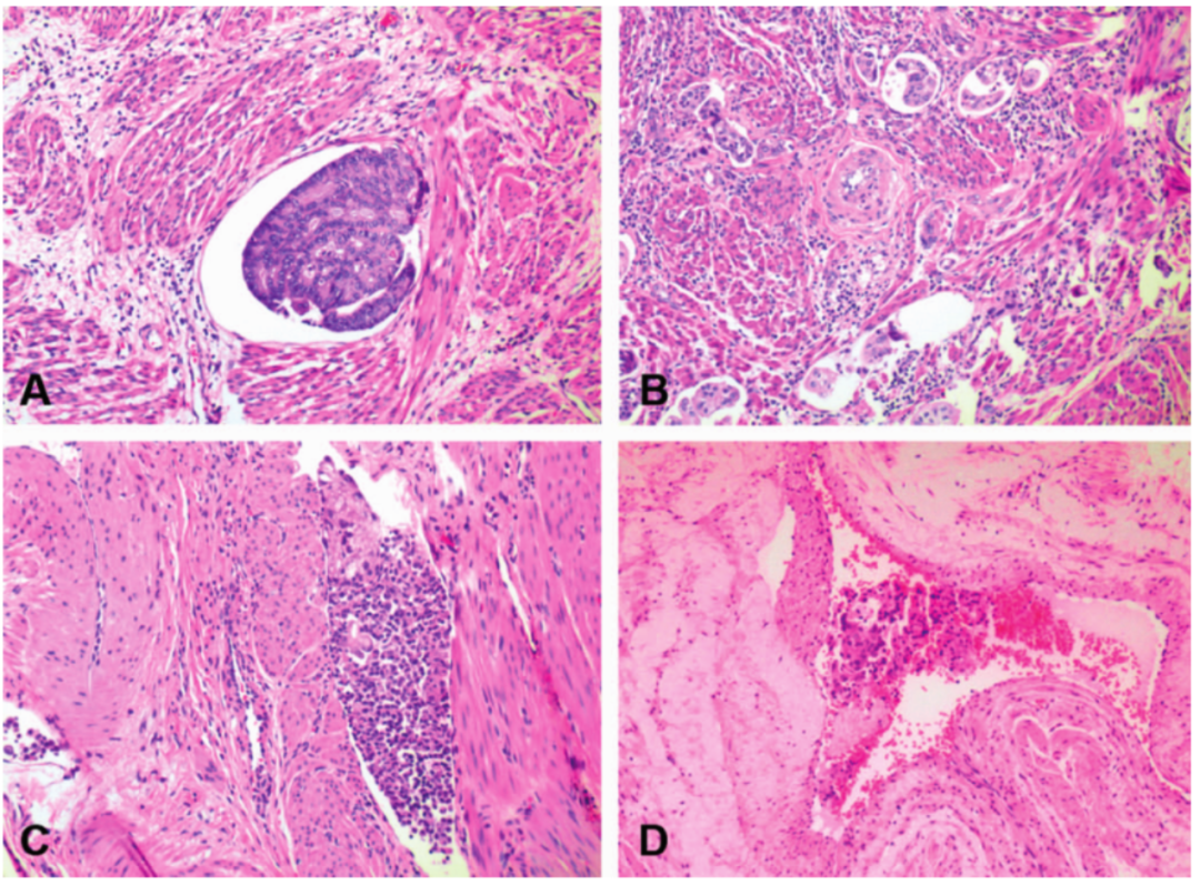
真假淋巴血管侵犯。A,子宫内膜样癌局灶性淋巴血管浸润:肿瘤浸润前部外,肌层内内皮层间隙内出现黏合的肿瘤细胞簇。B、子宫内膜样癌广泛(>4个病灶)淋巴血管浸润:肿瘤浸润前部外,肌层内若干内皮层间隙内肿瘤细胞聚集。C和D,人工淋巴血管侵袭:移位的肿瘤细胞或分解的肿瘤碎片混杂着炎症和/或大血管内漂浮的基质(苏木精-伊红,原始放大×400)。
附6.(与2018版无差别)
(记忆方法:1期一半肌,2期间质累,3期附道盆,4期已转移)

参考文献:
Turashvili G, Hanley K. Practical Updates and Diagnostic Challenges in Endometrial Carcinoma. Arch Pathol Lab Med. 2023 Mar 21. doi: 10.5858/arpa.2022-0280-RA. Epub ahead of print. PMID: 36943242.
赵瑞皎, Zheng Wenxin. 病理学在子宫内膜癌分子分型和2023 FIGO分期中的重要作用 [J] . 中华妇产科杂志, 2023, 58(11) : 862-867. DOI: 10.3760/cma.j.cn112141-20230815-00049.
中华医学会病理学分会女性生殖疾病学组. 子宫内膜癌病理诊断规范[J]. 中华病理学杂志,2020,49(03):214-219.
回允中(主译).《罗塞和阿克曼外科病理学》,2021年第 11 版,北京大学医学出版社
部分图片见水印