小伙伴们,大家吼
今日我们瞅瞅另一种程序性死亡方式——Entosis(细胞侵入性死亡)。
1. 温故而知新
Entosis是2007年首次报道的一种细胞同类“相食”的程序性死亡方式,即一个细胞吞噬杀死另外一个细胞。

在营养资源竞争过程中,产生了一个胜利者和一个失败者,两者之间通过细胞粘附和细胞骨架重排通路(RHOA和ROCK等)互作,失败者被胜利者吞入胞体内,胜利者则通过LC3相关的吞噬作用(LAP)和组织蛋白酶B(CTSB)介导的溶酶体降解途径吞噬、杀死和消化同类细胞,失败者尸体营养可促进胜利者更好存活、分裂。

Entosis在肿瘤内常见,是癌细胞竞争的一种具体表现形式。同类相残的行为可以为癌细胞提供生存所需的能量,并为化疗结束后的肿瘤复发奠定基础。如下图所示,Entosis在肿瘤中具有促癌和抑癌的“双刃剑”功能。

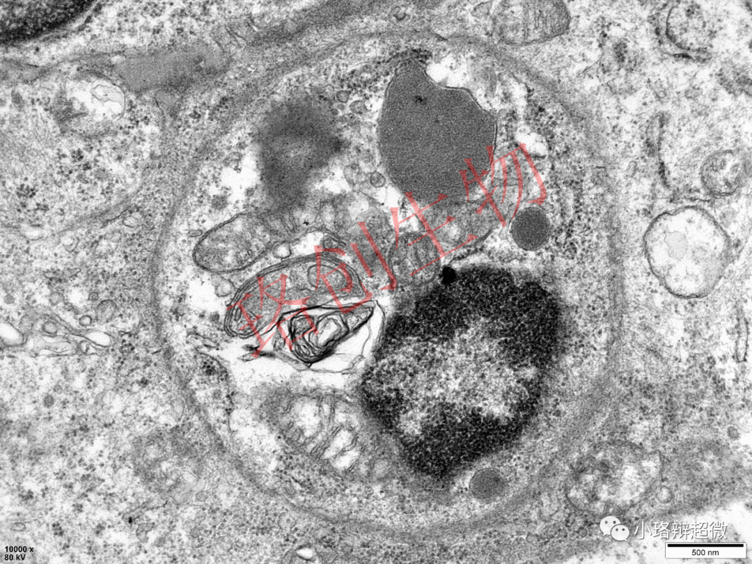
2. 眼见为实
透射电镜下Entosis主要表现为细胞内细胞结构。



图片源于客户日常送检的肿瘤标本,已获得客户知情同意,盗版必究
PS:本是同根生,相煎何太急。。。
其他细胞死亡形式请见:
第二十三期:透射电镜下的细胞坏死
第二十二期:透射电镜下的细胞凋亡
第十二期:透射电镜下的细胞铁死亡