2024
当前位置: 首页 >> 在线课堂 >> 2024 >> 正文
细胞学堂 | BV2细胞形态问题大揭秘
发布时间:2024-03-20 发布者: 浏览次数:

细胞学堂 | BV2细胞形态问题大揭秘

小普 武汉普诺赛 2024-01-04 11:29



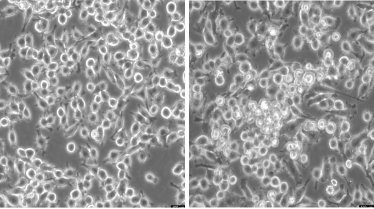
BV2细胞系由E·Blasi于1990年建立,应用小鼠小神经胶质细胞经逆转录病毒介导转染v-raf/v-myc获得永生化,在模拟神经系统疾病和研究相关疾病机制方面应用广泛。BV2细胞保留有小神经胶质细胞多种形态、表征和功能特征,免疫组化结果显示,BV2细胞为MAC1、MAC2阳性,MAC3、胶质细胞原纤维酸性蛋白、半乳糖脑苷脂阴性。



培养BV2细胞时,最常遇到的问题就是细胞形态异常,通常伴随着细胞形状改变、拉丝较多等,对大家的实验造成影响。本期细胞学堂为大家整理了BV2细胞的培养方法、常见问题及处理方法,帮助您快速上手开展实验。



图片
图片

细胞生长特性

图片

半贴半悬:悬浮和贴壁细胞比例不固定;

多形性:悬浮细胞为圆形,贴壁细胞既有圆形(饱满圆润,边缘亮)也有梭形(向两端伸出黑色突起)、多边形。


图片
图片

BV2细胞显微镜图




图片
图片

培养方法

图片

培养条件

气相:空气,95%;CO2,5%;

温度:37℃;

细胞形态

上皮细胞样;

冻存条件

冻存液:55% 基础培养基+40%FBS+5%DMSO

温度:液氮



图片

BV2细胞的传代

01

用移液器吸出细胞培养瓶中的培养液(含有悬浮细胞),转移到无菌离心管A中;

02

用1 mL PBS润洗细胞,吸出PBS放入到上一步装有培养液的离心管A中;

03

培养瓶中加入1 mL胰酶,轻轻晃动培养瓶使胰酶浸润所有细胞,放入37℃培养箱静置消化(消化时间跟据细胞生长时间稍有不同,消化时间一般为2~4 min,可以消化1 min后拿出来在显微镜下观察,若还未消化完全就放回培养箱继续消化,直到显微镜下看到细胞明显分离变圆,侧立培养瓶细胞有滑落迹象,可终止消化),全程不要拍打培养瓶;

04

培养瓶中加入3 mL含血清的培养基终止消化,轻轻吹几下将细胞吹落到液体中,再轻吹5~10下使细胞均匀分散,尽量在显微镜下呈单颗悬浮;

05

将培养瓶中的细胞悬液转移至离心管A中,1200 rpm离心3 min;

06

弃上清,加入2~3 mL新鲜培养基重悬沉淀,按传代比例分装到新的培养瓶或者皿中,补足培养基,最后轻吹几下让细胞分散均匀。

注意事项


BV2细胞是半贴壁半悬浮细胞,悬浮细胞和贴壁细胞的比例不固定,因此传代的时候需要单独收集悬浮和贴壁部分的细胞进行处理。如果悬浮的细胞不到10%,贴壁的细胞密度有80%以上,这个情况传代的时候也可以不收集悬浮细胞。


图片

BV2细胞的冻存

冻存液推荐配比:

55%(基础培养基)+40%(血清)+5%(DMSO)或90%胎牛血清+10%DMSO;

注意事项


细胞到货稳定培养2~3代后,建议及时冻存保种,推荐冻存密度2~3×106 cells/mL。由于细胞冻存成功率往往无法达到百分之百,一般建议边传代边冻存,每次冻存后需复苏一支冻存管验证细胞活率。




图片
图片

培养常见问题及处理方法

图片

01

刚收到货时,细胞整体偏圆形较多,而后续培养时梭形较多是怎么回事?

细胞形态会随着密度的改变发生变化。BV2细胞增殖较快,到货时由于运输震荡的原因,部分细胞会出现收缩,此时细胞密度较高,圆形相对较多;在后续培养中,按照1:2~1:4传代24 h时,细胞主要以梭形为主;后续随着细胞密度越来越高,圆形细胞会逐渐变多


02

传代培养时,发现细胞拉丝、触角较多,如何调整?

BV2细胞以较低密度传代后,容易出现拉丝、触角较多的情况。这种情况可以先收集培养基中悬浮或贴壁不牢的细胞于15 mL离心管中,贴壁的细胞用胰酶消化1 min左右后终止消化,收集消化下来的的细胞(多触角或者拉丝很长的细胞,短时消化不容易消化下来,可以被筛掉),然后计数传代,培养一段时间后细胞状态会有好转。没有消化下来的细胞也可以提高细胞密度传代,重复此步骤,收集偏圆形的细胞培养


03

培养过程梭型细胞比圆形细胞多,梭型是不是细胞分化了?

细胞受到LPS刺激后易分化,而常规培养过程是不会自发分化的。关于哪种形态是分化,并没有统一的定论,有的文献描述分化细胞是长梭型细胞增加,有的文献称分化细胞偏圆形,建议通过检测相关的指标变化来判断是否分化。


海南省生物材料与医疗器械工程研究中心/海南省创伤与灾难救援研究重点实验室版权所有 ©2024

地       址:海南省海口市龙华区学院路3号力行楼C栋1层

联系电话:0898-66892503 

微博

微信扫一扫

扫一扫手机访问