小伙伴们,大家吼
今天咱们看看小珞的老本行——铁死亡(Ferroptosis)。现在的铁死亡火的一塌糊涂,在各类疾病中均发现了其重要作用,小珞开始关注到它的时候还是只有200篇研究的2017年
。。。。。。不扯往事了,上车看图

1. 温故而知新

经典铁死亡的发生简单来说就是GPX4-GSH抗氧化系统失平衡,导致铁依赖的脂质过氧化物清除障碍,使其在胞膜上过度蓄积,引发的一种新的程序性死亡方式。与其他死亡大致区别如下:

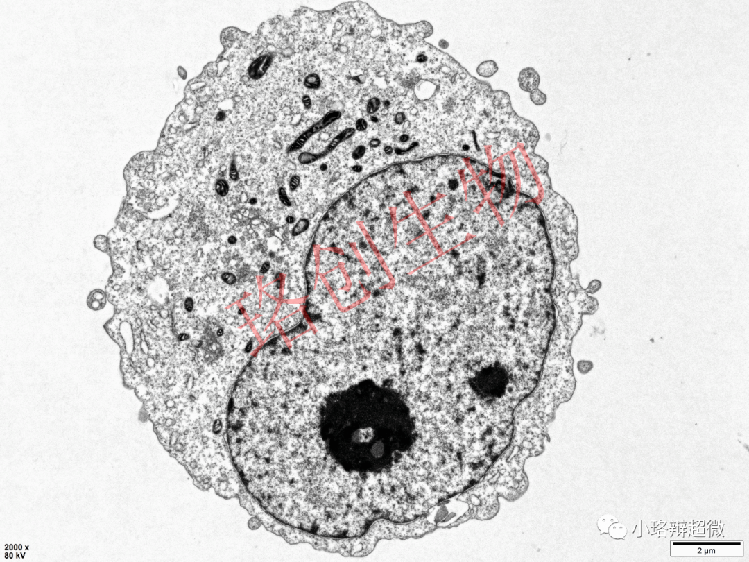
2. 眼见为实
对照组

铁死亡组

图片源于客户日常送检的细胞标本,已获得客户知情同意,盗版必究