小伙伴们,大家吼
当下纳米材料红火的一塌糊涂,生物医药研究一旦揉入新材料,基本上就是买了10分文章的入场通用券。
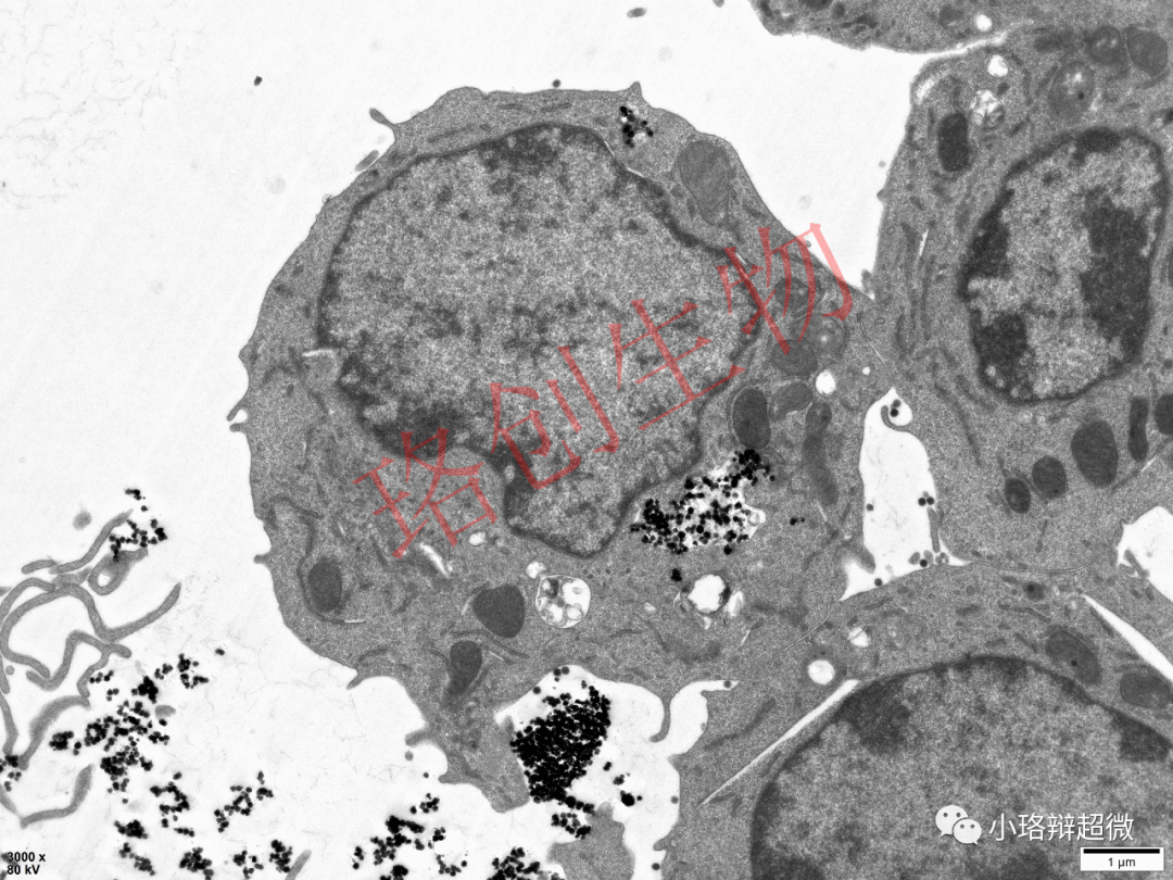
今天我们就瞅一下细胞吞噬纳米材料长个啥锤子。
1. 温故而知新
吞噬作用,某些称为吞噬细胞的活细胞摄取或吞噬其他细胞或颗粒的过程。吞噬细胞可以是自由生活的单细胞生物,例如变形虫,或一种体细胞,例如白细胞。在某些形式的动物生命中,例如变形虫和海绵,吞噬作用是一种进食方式。在高等动物中,吞噬作用主要是针对外来物质(抗原)的感染和入侵的防御反应。
以变形虫为例,变形虫摄取外界物质(如食物)进入胞内,然后外界物质形成的内体与胞内的溶酶体相互融合,最后由溶酶体酶将其消化分解。

2. 眼见为实



图片源于客户日常送检的细胞标本,已获得客户知情同意,盗版必究