小伙伴们,大家吼
今日专题——骨细胞。
1. 温故而知新
骨组织主要由骨细胞和骨质构成。

骨组织细胞主要包含骨祖细胞、成骨细胞、骨细胞和破骨细胞。区别如下:
分类
| 分布
| 形态
| 功能
|
骨祖细胞
| 软骨膜和骨膜内层
| 梭形,体积小,胞质少,核小色深
| 干细胞,骨受损时增值分化为成骨细胞
|
成骨细胞
| 骨组织表面
| 单层排列,矮柱状或不规则型
| 分泌类骨质和含钙盐结晶的基质小泡
|
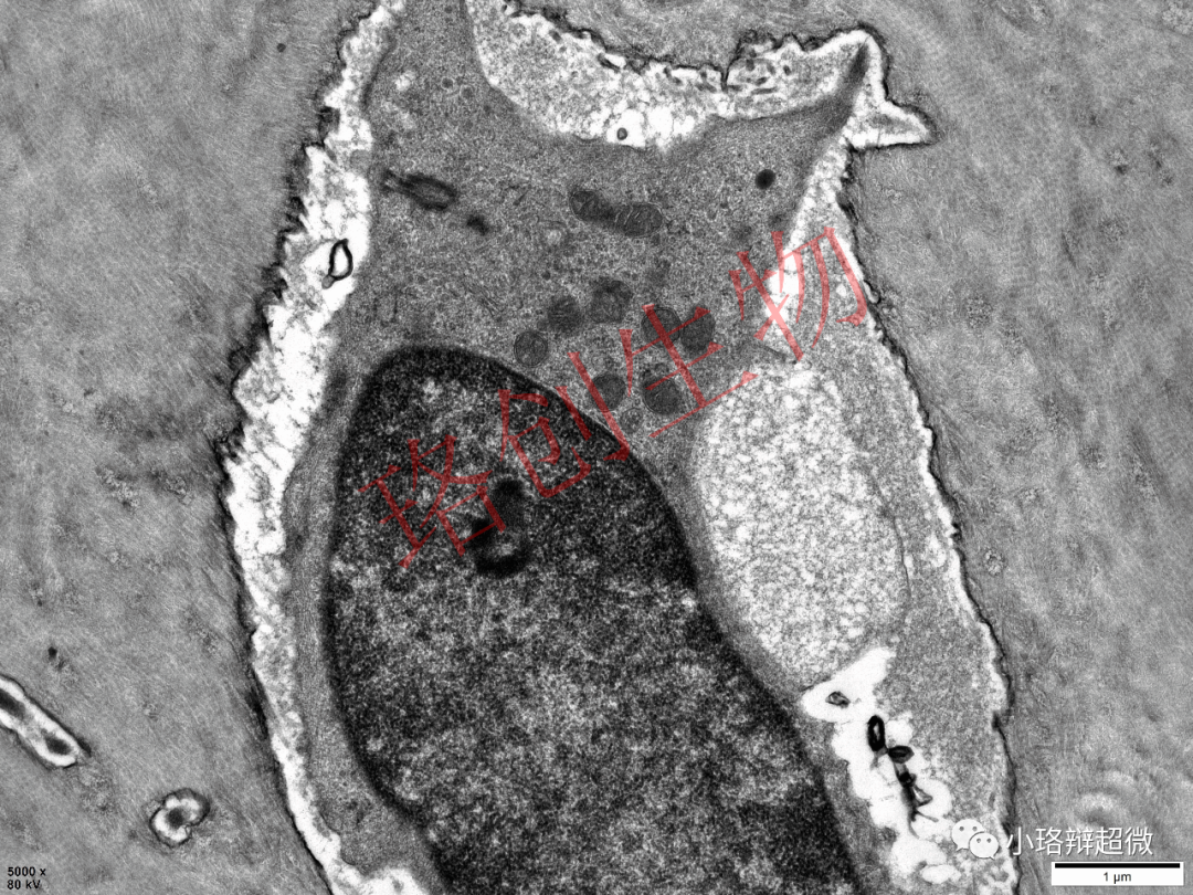
骨细胞
| 骨板间/内
| 多个细长突起
| 成骨细胞转变,初生骨细胞具备分泌功能,溶骨作用参与钙磷平衡
|
破骨细胞
| 骨组织表面
| 形态不规则,多核,含丰富溶酶体和线粒体
| 释放水解酶和有机酸,溶解骨质,分解有机成分
|


骨质主要包括有机成分和无机成分。

2. 眼见为实
骨细胞所在腔隙为骨陷窝,突起所在腔隙为骨小管,相邻骨细胞通过突起的缝隙连接传递信息,骨陷窝-骨小管相互连通构成物质运输通道。



图片源于客户日常送检的骨组织标本,已获得客户知情同意,盗版必究