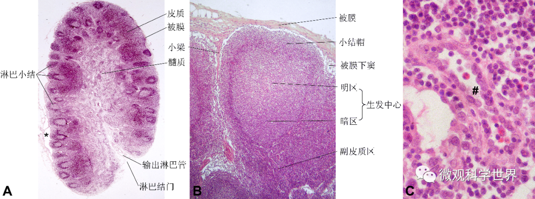
完整的淋巴结为卵圆形或肾形实质性器官,切片上有皮质、髓质的层次区别。皮质一般强嗜碱性,染成深紫色,有颗粒或结节状形态。髓质染色较浅,仍主要呈嗜碱性。
1.低倍镜观察
低倍镜下,淋巴结表面有薄层结缔组织被膜。结缔组织伸入淋巴结实质内,形成支持性小梁结构(较脾的更薄弱),在切片上呈不连续的条索。被膜内有时可见输入淋巴管,直径一般较小。有的切面上可见淋巴结一侧凹陷,有较多的结缔组织,血管、神经、输出淋巴管等在此处聚集,此即为淋巴结门。淋巴结的实质,在低倍镜下可清楚分出皮质和髓质。
淋巴结皮质位于被膜深面,实质的浅层,结构和厚度有可变性。皮质又可区分出浅层的淋巴小结、副皮质区和皮质淋巴窦等结构。
浅层皮质由弥散淋巴组织和淋巴小结构成。典型的淋巴小结呈现分层结构:中心浅染,为生发中心明区;深面靠近髓质的部分,为生发中心暗区。生发中心的顶部及周围有密集的小淋巴细胞,称为“小结帽”,尤以顶部最厚而密。有时浅层皮质看不出生发中心结构的淋巴结,不一定是没受到免疫刺激,也可能是没切到。艾滋病等免疫缺陷疾病患者的淋巴结那才是真的完全看不到淋巴小结的结构。
副皮质区位于小结深面,为一片弥散淋巴组织,按功能意义又称胸腺依赖区。此区主要为T淋巴细胞(常规光镜观察不能区分类型)。
皮质淋巴窦分布于被膜下、小梁周围、淋巴小结和副皮质区周围,以及皮质-髓质连接部。一般为网状结构,染色浅。
淋巴结髓质位于淋巴结中心,由髓索和其间的髓窦组成。
髓索为密集排列的条索状淋巴组织,粗细不一,形状不规则,断面呈嗜碱性条状或块状的密集细胞带,相互连接成网。
髓窦分布于髓索之间和髓索与小梁之间,宽阔而迂曲,相连成网。窦腔内有网状细胞,窦壁为扁平细胞。

淋巴结HE染色 (A)淋巴结全貌(50×);(B)淋巴小结(200×);(C)副皮质区局部(600×);* 输入淋巴管;# 毛细血管后微静脉。
2.高倍镜观察
在高倍镜下,以有明显生发中心的淋巴小结为例,生发中心与弥散淋巴组织之间可见扁平的网状细胞,可作为分界标志。近被膜侧的小结帽呈新月形,为大量密集排列的小淋巴细胞;细胞核小而圆,也有部分为椭圆或不规则形。核质比高,几乎见不到胞质,核内异染色质浓密。明区含有中等大小的幼稚淋巴细胞、网状细胞和巨噬细胞;暗区则绝大部分为幼稚淋巴细胞。生发中心的淋巴细胞中可见到分裂相。
淋巴小结从暗区到小结帽,为B淋巴细胞增殖、分化、成熟的场所,最终分化成为记忆性B细胞与浆细胞。
高倍镜下,副皮质区为弥散分布的小淋巴细胞,属T淋巴细胞性质,最终分化为记忆性T细胞和效应性T细胞。常规光镜下不能区分这些类型,分型须借助分子标志物原位检测(如免疫组织化学)的方法。在机体受到免疫刺激后,副皮质区内常见分裂中的淋巴细胞。
在副皮质区靠近髓索的区域内,可见较多高内皮毛细血管后微静脉。此处血管内皮细胞形态饱满,切面上呈椭圆形或近立方形,为血液中淋巴细胞进入淋巴组织的通道。此外,还可见到很小的淋巴窦,连续切片可确认为盲端起始,是淋巴细胞进入髓窦的通道。
髓索与髓窦相邻,周围被覆髓窦的内皮。髓索内以小淋巴细胞为主,可见浆细胞、巨噬细胞和小血管等。
淋巴窦的壁为扁平的内皮,内皮外偶可见一层扁平的网状细胞。窦腔有网状组织作为支架,网状细胞呈星形,有突起,彼此连接成网;网眼内可见有突起的星状内皮细胞,偶可见巨噬细胞和淋巴细胞。
3.透射电镜观察
淋巴结分为浅层皮质、深层皮质、髓索和髓窦等组织结构有所不同的区域。这些区域不可能在电镜的放大倍数下集中于同一或邻近视野。因此,电镜观察淋巴结的结构,重点是关注局部的细胞构成和细胞的结构与变化情况。识别和区分淋巴组织的细胞类型及各细胞的特点,是阅片的关键。
淋巴结各部均可见大量淋巴细胞。与血液中不同,组织中的淋巴细胞不一定呈球形,可能因挤压变形而导致外形不规则。但是,细胞质稀薄、细胞器相对较少、核质比大和核内异染色质占比高的特点不变。
淋巴结实质内常见浆细胞、巨噬细胞。这些细胞的电镜结构另有专文描述。
淋巴结网状组织可见大量网状细胞,核大而不规则,异染色质边聚,核中部常染色质丰富。胞体可见数个细长分支的突起,相邻网状细胞的突起接触,但无桥粒等细胞连接;胞外无基膜。细胞突起一般完整包裹胶原纤维或网状纤维。上述淋巴细胞、巨噬细胞、浆细胞等,均填充在网状细胞突起形成的空间内(下图示意)。在生发中心的明区易见到胞质中吞噬有死亡淋巴细胞残体的巨噬细胞。

淋巴结实质局部细胞构成模式 1 树突状细胞;2 网状细胞;3 内皮细胞;4 巨噬细胞;5 浆细胞。生发中的结构与脾小体所见类似。
此外,淋巴结实质中还可见滤泡树突状细胞、交错突细胞、肥大细胞等;炎症状态下还有粒细胞浸润。其中,滤泡树突状细胞在生发中心的明区占比最高,形态不规则,有饱满的胞体、不规则的核形与多个胞质突起;突起间相互缠绕,断面结构较复杂。免疫激活阶段,胞质突起上可见串珠样免疫复合物被覆小体。交错突细胞常见于副皮质区,与滤泡树突状细胞一样,也属于抗原呈递细胞,形态相似,核不规则度一般更高,胞质细胞器稀少。
淋巴结的髓窦中,有时可见星状内皮细胞,其胞体与核伸入窦腔内,突起延伸参与形成窦壁。
4.血淋巴结
血淋巴结是一种结构改变的淋巴结,在人类一般见于肾血管周围的结缔组织中,在啮齿动物则见于肾、脾、胸腺等器官附近。与普通淋巴结最明显的区别是淋巴窦内有大量红细胞。红细胞可来自输入淋巴管,也可自髓索的毛细血管渗出。因此,血淋巴结肉眼观呈红色。此外,血淋巴结中淋巴小结较少见,副皮质区难以看到,但可见高内皮后微静脉。
尽管功能尚待阐明,但血淋巴结是一种正常结构。普通淋巴结在取材和固定环节,血管破损后也会有红细胞渗入淋巴组织中,但镜下红细胞分部不均,不可能像血淋巴结那么自然,应注意鉴别。